Một bệnh nhân bị thủng tử cung do đặt dụng cụ tránh thai 30 năm

Bệnh nhân vào viện trong tình trạng viêm phúc mạc toàn thể, khí tự do ổ bụng, thủng ruột non và dụng cụ tránh thai nằm ngoài thành tử cung.
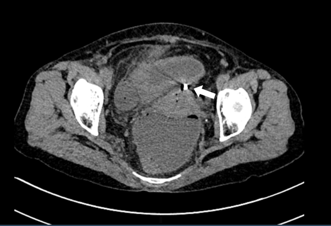
Một bệnh nhân bị thủng tử cung do đặt dụng cụ tránh thai 30 năm ảnh 1Hình ảnh chụp cắt lớp vi tính. Dụng cụ tử cung xuyên qua thành tử cung vào ruột (mũi tên trắng). (Ảnh: BVCC)

Ngày 28/9, Bệnh viện Bạch Mai thông tin, các bác sỹ Khoa Ngoại tổng hợp của Bệnh viện vừa tiếp nhận và xử trí cho một nữ bệnh nhân 69 tuổi bị thủng tử cung do tiền sử đặt dụng cụ tránh thai 30 năm.

Bệnh nhân vào viện trong tình trạng viêm phúc mạc toàn thể, khí tự do ổ bụng, thủng ruột non và dụng cụ tránh thai nằm ngoài thành tử cung. Các phẫu thuật viên trực mổ mở cấp cứu cắt tử cung bán phần, khâu lỗ thủng ruột non và rửa sạch ổ bụng cho bệnh nhân.

[Thuốc tránh thai khẩn cấp tăng hiệu quả khi dùng kèm thuốc giảm đau]

Bác sỹ Triệu Văn Trường, Phó trưởng Khoa Ngoại tổng hợp (Bệnh viện Bạch Mai) - bác sỹ trực tiếp phẫu thuật và điều trị cho ca bệnh hy hữu này cho hay bệnh nhân vào viện vì đau bụng dưới rốn kèm ra dịch hồng sau thủ thuật tháo dụng cụ tránh thai.

Các bác sỹ khám lâm sàng cho thấy bụng chướng, ấn đau và có phản ứng thành bụng. Bệnh nhân cho biết đã đặt dụng cụ tránh thai 30 năm, gần đây thấy ra dịch nhầy hồng âm đạo, nên bệnh nhân đến bệnh viện tháo dụng cụ tránh thai nhưng thất bại.

Bốn ngày sau, bệnh nhân đau hạ vị liên tục kèm nôn, ra dịch máu, không trung tiện được, không sốt. Bệnh nhân đến Bệnh viện Bạch Mai trong tình trạng bụng có biểu hiện của viêm phúc mạc như bụng chướng, ấn đau khắp bụng.

Qua siêu âm ổ bụng các bác sỹ thấy các quai ruột ứ đọng dịch, giảm nhu động, ít dịch tự do ổ bụng. Chụp cắt lớp vi tính thấy hình ảnh dịch khí tự do trong ổ bụng, tắc ruột cơ năng, dày thành ruột vị trí hố chậu phải và dị vật xuyên thủng đáy tử cung.

Kíp bác sỹ phẫu thuật lập tức tiến hành mổ mở cấp cứu cắt tử cung bán phần, khâu lỗ thủng ruột non, rửa sạch ổ bụng. Tuy nhiên, sau mổ 6 ngày, bệnh nhân phải mổ lại lần thứ hai để đưa hai đầu ruột non ra ngoài tạm thời do bục lỗ khâu ruột non. Quá trình hậu phẫu ổn định, người bệnh đã ổn định sức khỏe.

Một bệnh nhân bị thủng tử cung do đặt dụng cụ tránh thai 30 năm ảnh 2Lỗ thủng đáy tử cung (mũi tên trắng ở hình A_ và dụng cụ tử cung (mũi tên ở hình B). (Ảnh: BVCC)

Bác sỹ Trường phân tích, thủng tử cung do dụng cụ tránh thai là một biến chứng không phổ biến nên nhiều khi khó chẩn đoán, dấu hiệu thủng tử cung chỉ có thể được phát hiện khi theo dõi định kỳ hoặc mang thai ngoài ý muốn. Các triệu chứng lâm sàng có thể gặp do thủng tử cung bao gồm chảy máu bất thường và đau bụng. dụng cụ tránh thai có thể được nhìn thấy khi làm siêu âm đầu rò âm đạo, nhưng cũng có thể sử dụng chụp cắt lớp vi tính để xác định vị trí của dụng cụ tránh thai.

Theo bác sỹ Trường, đa số dụng cụ tránh thai sau khi thủng sẽ nằm ở khoang phúc mạc sau đó xâm lấn vào các cơ quan lân cận gây biến chứng thủng ruột. Do đặc điểm lỗ thủng ruột thường là nhỏ nên tình trạng viêm phúc mạc có thể ở mức độ nhẹ, khu trú, thậm chí không có triệu chứng. Ngược lại nếu dịch tiêu hóa lan rộng gây viêm phúc mạc toàn thể với lâm sàng cấp tính, đau bụng, nhiễm trùng khiến bệnh nhân phải nhập viện. Chụp cắt lớp vi tính là lựa chọn để chẩn đoán trong bệnh cảnh viêm phúc mạc. Đặc điểm dụng cụ tránh thai lạc chỗ với dấu hiệu dị vật ổ bụng nằm ở tiểu khung, thâm nhiễm viêm, dày thành quai ruột, đôi khi có dịch khí tự do ổ bụng.

Bác sỹ Trường khuyến cáo, ở phụ nữ đã mãn kinh nên lấy dụng cụ tránh thai ra khỏi cơ thể để phòng tránh các biến chứng. Theo y văn, rất ít các bài báo liên quan đến tai biến thủng tử cung kèm theo thủng ruột do thất bại của thủ thuật tháo vòng tránh thai. Phụ nữ khi đặt dụng cụ tránh thai thì cần tuân thủ khuyến cáo đó là tháo dụng cụ tránh thai mỗi 5 năm/lần hoặc khi hết tuổi sinh sản. Các can thiệp thông thường có thể khiến vòng tránh thai bị vỡ, thủng thành tử cung và gây tổn thương các cơ quan xung quanh. Trong trường hợp không thể loại bỏ dụng cụ tránh thai bằng thủ thuật thì nên theo dõi lâm sàng chặt chẽ, nội soi buồng tử cung hoặc cắt tử cung chủ động./.

(Vietnam+)

Tin cùng chuyên mục