Phú Thọ: Kịp thời gắp đinh vít sắc nhọn trong bụng bé gái 2 tuổi

Khoảng 4 giờ trước khi vào viện, bé chơi ở nhà hàng xóm và nuốt phải đinh vít nhưng không ai phát hiện ra. Khi hàng xóm tìm không thấy chiếc đinh vít mới thông báo cho gia đình để đưa bé đi khám.

Bác sỹ kiểm tra sức khỏe cho bé gái sau khi đã gắp dị vật ra khỏi dạ dày. (Ảnh: PV/Vietnam+)
Bác sỹ kiểm tra sức khỏe cho bé gái sau khi đã gắp dị vật ra khỏi dạ dày. (Ảnh: PV/Vietnam+)

Ngày 12/12, Khoa cấp cứu (Bệnh viện Sản Nhi tỉnh Phú Thọ) tiếp nhận bé N.P.C, 2 tuổi, ở tại huyện Lập Thạch, tỉnh Vĩnh Phúc, đến khám do gia đình nghi ngờ trẻ nuốt phải 1 chiếc đinh vít trước đó.

Gia đình bệnh nhân kể lại, 4 giờ trước khi vào viện, bé chơi ở nhà hàng xóm và nuốt phải đinh vít nhưng không ai phát hiện ra. Sau khi nuốt dị vật trẻ cũng không có biểu hiện nào bất thường. Chỉ đến khi người hàng xóm tìm không thấy chiếc đinh vít mới thông báo cho gia đình để đưa bé đi khám.

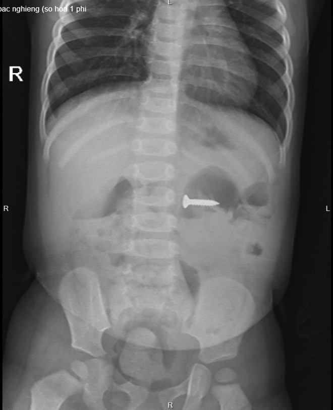
Tại Bệnh viện Sản Nhi tỉnh Phú Thọ, các bác sỹ chỉ định cho bé chụp X-quang thăm dò và phát hiện dị vật đinh vít sắc nhọn kích thước 2cm trong dạ dày, vị trí ngang đốt sống D3 của trẻ. Sau khi hội chẩn với các bác sỹ khoa Ngoại nhi tổng hợp và giải thích với gia đình, bệnh nhi được chỉ định gây mê nội soi tiêu hóa cấp cứu gắp dị vật.

Sau 5 phút, các bác sỹ Khoa Chẩn đoán hình ảnh-thăm dò chức năng gắp ra được dị vật là 1 chiếc đinh ốc vít có một đầu sắc nhọn nằm trong dạ dày của bệnh nhi. Các bác sỹ đánh giá, với tính chất sắc nhọn của đầu đinh, nếu không loại bỏ kịp thời có thể gây tổn thương đâm thủng thành ruột, dạ dày, thậm chí có thể gây tổn thương nhiều vị trí mà chiếc đinh đi qua.

x-quang-5151.jpg
Chiếc đinh vít sắc nhọn nằm trong dạ dày bệnh nhi trên phim chụp X-quang. (Ảnh: BVCC)

Sau khi gắp dị vật, trẻ tiếp tục được nội soi tiêu hóa để kiểm tra lại, tình trạng thực quản, dạ dày, tá tràng đều ổn định, không còn dị vật nào khác. Hiện tại, bệnh nhi được theo dõi sức khỏe tại Khoa Cấp cứu.

Qua trường hợp trên, các bác sỹ khuyến cáo, phụ huynh/người trông trẻ cần chú ý, không nên để các bé chơi các loại đồ vật có kích thước nhỏ bởi với sự hiếu động, tò mò, bé sẽ ngậm vào miệng rồi vô tình nuốt luôn dị vật dẫn đến hậu quả đáng tiếc./.

(Vietnam+)

Tin cùng chuyên mục