Một nghiên cứu mới đã chỉ ra rằng sự thay đổi trong hệ vi khuẩn đường ruột của con người ảnh hưởng đến dược động học của thuốc điều trị ung thư vú tamoxifen và do đó ảnh hưởng đến hiệu quả của thuốc.
Singapore thông báo tìm ra cách thức xác định một người bị nhiễm virus SARS-CoV-2 hay virus sốt xuất huyết chỉ trong vòng 36 phút, bằng 1/4 thời gian cần thiết để các phương pháp xét nghiệm hiện tại.
Một nghiên cứu lớn của châu Âu đã phát hiện một enzyme trong máu có vai trò dẫn dắt virus SARS-CoV xâm nhập các tế bào, gây ra những biến chứng nghiêm trọng về hô hấp ở những bệnh nhân COVID-19.
Israel sẽ tiến hành 4 cuộc thí nghiệm với vi khuẩn trong không gian vào tháng 10 tới, được điều khiển từ xa bởi một phòng thí nghiệm thuộc Công ty Spacepharma của Israel.
Tạp chí sức khỏe Top Santé của Pháp dẫn kết quả nghiên cứu mới nhất nói rằng chế độ ăn nhiều dầu mỡ sẽ làm bất hoạt các enzyme kiểm soát sự thèm ăn, khiến chúng ta cứ ăn mãi mà chẳng thể dừng lại.
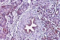
Căn cứ vào lượng enzyme PHLPP1 và PKC ở bệnh nhân ung thư tuyến tụy, các nhà nghiên cứu có thể phát triển các loại thuốc điều trị mới làm thay đổi sự cân bằng của 2 enzyme này để điều trị bệnh.
Phân biệt các tế bào ung thư với tế bào bình thường là một thách thức với các bác sỹ trong phẫu thuật ung thư nhưng các nhà khoa học Trung Quốc sử dụng công nghệ SNAB để phân biệt tế bào ung thư.
Các nhà nghiên cứu của Viện Khoa học Trung Quốc mới đây đã xác định một loại nấm có khả năng "ăn" nhựa dẻo và hứa hẹn mang lại một giải pháp hữu hiệu trong việc xử lý vấn đề rác thải.
Các nhà khoa học New Zealand mới đây đã đưa ra một khẳng định là mozzarella, một loại phomát thường được làm từ sữa trâu, là loại phomát tốt nhất để làm pizza.
Các nhà nghiên cứu Thụy Điển vừa công bố kết quả của công trình nghiên cứu mới, trong đó khối u sẽ bị tiêu diệt bằng cách ức chế enzyme đặc biệt có tên gọi MTH1.