Phẫu thuật cho bệnh nhân mang khối u cổ tử cung nặng 7kg

Bệnh viện K vừa phẫu thuật thành công cho nữ bệnh nhân 54 tuổi mang trong mình một khối u cổ tử cung khổng lồ nặng 7kg.
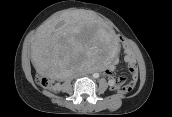
Phẫu thuật cho bệnh nhân mang khối u cổ tử cung nặng 7kg ảnh 1Phim X-Q khối u. (Ảnh: PV/Vietnam+)

Bệnh viện K vừa phẫu thuật thành công cho nữ bệnh nhân 54 tuổi mang trong mình một khối u cổ tử cung khổng lồ nặng 7kg.

Bệnh nhân tên Nguyễn Thị P. (54 tuổi) trú tại Hải Phòng.

Khối u của bệnh nhân chèn ép vào ổ bụng, gây suy thận, tắc ruột nếu không phẫu thuật kịp thời bệnh nhân thì nguy cơ tử vong rất lớn.

[Một phụ nữ ở Hà Nội tử vong sau 3 tháng nhờ thày cúng... chữa trị]

Chiều 29/3, Khoa Ngoại phụ khoa, Bệnh viện K cơ sở Tân Triều đã phẫu thuật thành công cho bệnh nhân.

Bệnh nhân nhập viện trong tình trạng mệt mỏi, đau hạ vị và bụng căng to.

Qua khai thác bệnh sử cho thấy, bệnh nhân có triệu chứng đau bụng kéo dài 6 tháng, nhưng do chủ quan nên không đi thăm khám sức khỏe định kỳ.

Một tháng trở lại đây, gia đình phát hiện bụng bệnh nhân ngày càng to ra kèm theo dấu hiệu mệt mỏi, ăn uống kém thấy đau tức bụng, chướng bụng nhiều hơn, sờ rõ khối u kích thước lớn nổi gồ, đẩy lệch hẳn về bên phải thành bụng, đại tiện khó khăn nên gia đình đưa bệnh nhân vào viện.

Bệnh nhân được làm các xét nghiệm để chẩn đoán, chỉ điểm khối u, chụp cắt lớp vi tính ổ bụng và hội chẩn toàn khoa.

Kết quả chụp cắt lớp vi tính ổ bụng cho thấy vùng tiểu khung lệch trái có khối tỷ trọng kích thước 26x15x18 cm phát triển lên phía trên bên phải ổ bụng, đè đẩy các quai ruột, ngấm thuốc sau tiêm kèm theo vôi hóa và có dịch trong khối, kèm theo hạch nhỏ lân cận.

Các bác sỹ chẩn đoán khối u lớn tiểu khung theo dõi u xơ tử cung kích thước lớn hoặc u quái buồng trứng phải.

Tiên lượng đây là một ca bệnh khó vì khối u rất lớn, chèn ép nhiều cơ quan, cộng thêm thách thức là bệnh nhân bị suy thận, nếu không phẫu thuật kịp thời, nguy cơ bệnh nhân tử vong rất cao.

Sau mổ các bác sỹ chẩn đoán đa u xơ ở thân tử cung và dây chằng rộng kích thước lớn. Ca phẫu thuật đã diễn ra thành công, bệnh nhân dần ổn định.

Phẫu thuật cho bệnh nhân mang khối u cổ tử cung nặng 7kg ảnh 2Các bác sỹ thực hiện ca phẫu thuật. (Ảnh: PV/Vietnam+)

Thạc sỹ Phạm Thị Diệu Hà - Phó Trưởng khoa Ngoại phụ khoa cho biết, nếu không được phẫu thuật kịp thời, sức khỏe bệnh nhân sẽ bị ảnh hưởng nghiêm trọng.

Bác sỹ Diệu Hà chia sẻ, u xơ cổ tử cung là bệnh có thể gặp ở bất cứ phụ nữ nào, thường là lành tính. Tuy nhiên nếu không được phát hiện và xử trí kịp thời, bệnh nhân vẫn có thể phải đối mặt với những nguy hiểm của u cổ tử cung khi vỡ vào trong ổ bụng, hay u to gây chèn ép các cơ quan, bộ phận bên trong.

Do vậy, nếu phát hiện u cổ tử cung thì chị em phụ nữ cần phải đi khám ngay để được chỉ định điều trị hay phẫu thuật sớm để tránh biến chứng và xác định chính xác bản chất khối u là lành tính hay ung thư./.

(Vietnam+)

Tin cùng chuyên mục