Tự nhổ răng tại nhà, bé gái bị viêm phổi nặng nguy hiểm tính mạng

Sau khi nhổ răng, bố mẹ thấy bé bị ho sặc và tìm kiếm không thấy chiếc răng văng ở đâu, do tình trạng bé ổn dần, người nhà yên tâm, không để ý.
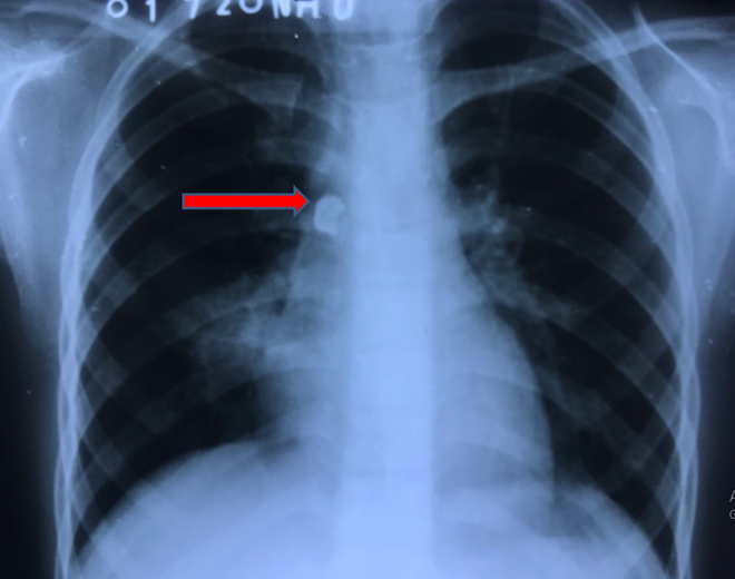
Tự nhổ răng tại nhà, bé gái bị viêm phổi nặng nguy hiểm tính mạng ảnh 1Hình ảnh X-quang cho thấy dị vật nằm trong phổi. Ảnh minh họa. (Nguồn: bvndtp.org.vn)

Một bé gái 8 tuổi đã bị một chiếc răng sữa rơi vào phổi khi tự nhổ răng tại nhà mà không hay biết, gây viêm phổi nặng nguy hiểm.

Thông tin được các bác sỹ Bệnh viện Nhi đồng Thành phố (Thành phố Hồ Chí Minh) cho biết ngày 10/3.

Bé gái N.T.D.M (8 tuổi, ngụ tỉnh Đồng Tháp) được người nhà dẫn đi khám khắp nơi vì ho, thở khò khè, đau ngực suốt hai tháng trời nhưng không xác định được nguyên nhân.

[Sặc hạt điều, bé trai hai tuổi suy hô hấp phải thở máy]

Đến Bệnh viện Đa khoa tỉnh Đồng Tháp, sau khi chụp CT, các bác sỹ phát hiện một dị vật cản quang có hình chiếc răng trong phổi.

Lúc này, bố mẹ của bé mới nhớ lại cách đây hai tháng, bé có một chiếc răng hàm bị lung lay nên đã tự nhổ tại nhà.

Sau khi nhổ răng, bố mẹ thấy bé bị ho sặc và tìm kiếm không thấy chiếc răng văng ở đâu. Do tình trạng bé ổn dần, người nhà yên tâm, không để ý.

Xác định có dị vật là chiếc răng ở trong phổi, bệnh nhi được chuyển lên Bệnh viện Nhi đồng Thành phố. Tại đây, thông qua các biện pháp chẩn đoán hình ảnh, các bác sĩ nhận thấy một chiếc răng hàm cắm sâu vào thành phế quản, gần như bít hoàn toàn phế quản gốc phải của bệnh nhi.

Các bác sỹ nhận định, nếu tiếp tục để chiếc răng trong phế quản, nguy cơ ứ khí gây viêm xẹp phổi, tràn khí màng phổi, nhiễm trùng viêm phổi nặng.

Ngay lập tức, các bác sỹ Khoa Hô hấp, Bệnh viện Nhi đồng Thành phố đã tiến hành nội soi và gắp một chiếc răng to khoảng 3x5mm ra khỏi phế quản cho bệnh nhi.

Đây là trường hợp dị vật lớn, cung răng có hai đầu nhọn, sắc nên nguy cơ thủng, rách đường dẫn khí rất cao. Nếu không lấy được bằng nội soi, các bác sỹ sẽ phải phẫu thuật mở ngực lấy dị vật, có khả năng để lại di chứng nặng nề.

Theo các bác sỹ, ngoài tai nạn như trên, việc tự nhổ răng sữa cho trẻ tại nhà có thể gặp các trường hợp như không nhổ hết được toàn bộ chân răng, răng mọc lệch, chảy máu tại vùng nhổ răng kéo dài.

Bên cạnh đó, nhổ răng mà không thực hiện các biện pháp vô trùng dụng cụ hay không vệ sinh tay sạch có thể khiến bệnh nhân bị nhiễm khuẩn sau nhổ răng.

Nhổ răng tại nhà không đúng cách còn có thể khiến trẻ bị đau và sợ khám răng do bị “ám ảnh.”

Ngoài ra, khi tự nhổ răng sữa tại nhà, bố mẹ có thể bỏ qua thời điểm vàng để can thiệp nắn chỉnh, sửa chữa những lệch lạc răng vĩnh viễn ở giai đoạn sớm của trẻ.

Các bác sỹ khuyến cáo, đối với trẻ trong độ tuổi thay răng, phụ huynh không nên tự nhổ răng cho trẻ tại nhà mà cần đưa đến cơ sở chuyên khoa để thực hiện nhổ răng an toàn.

Bên cạnh đó, phụ huynh cần đưa trẻ đi khám răng định kỳ để có biện pháp can thiệp kịp thời khi răng của trẻ có vấn đề./.

(TTXVN/Vietnam+)

Tin cùng chuyên mục