Vòng eo to có liên quan đến chứng mất trí nhớ khi về già?

Một nghiên cứu phát hiện ra rằng khi mỡ bụng vượt quá mức trung bình có thể làm tăng 39% nguy cơ mắc chứng mất trí nhớ trong vòng 15 năm so với những người có vòng eo bình thường.
Vòng eo to có liên quan đến chứng mất trí nhớ khi về già? ảnh 1Những người có lượng mỡ bụng cao hơn có nguy cơ bị teo não cao hơn theo tuổi tác. (Nguồn: Getty Images)

Theo các nhà khoa học, số đo vòng eo có thể tương quan với kích thước và sức khỏe với bộ não của bạn.

Vòng eo to hơn 88cm ở phụ nữ và hơn 102cm cho nam giới có thể làm tăng nguy cơ viêm nhiễm trong cơ thể và tăng nguy cơ tạo ra mảng amyloid, chỉ số protein của bệnh Alzheimer, trong não. Hai yếu tố này cùng được cho là ảnh hưởng đến vùng ghi nhớ của não.

Điều này đặc biệt đúng đối với phụ nữ. Họ có nguy cơ mắc Alzheimer cao hơn sau khi mãn kinh, khi mà lượng hormone estrogen giảm. Trong khi estrogen dường như có "nhiệm vụ" phân phối mỡ trong cơ thể.

[Kiểm soát đồ uống có đường, giảm thiểu gánh nặng thừa cân béo phì]

Một nghiên cứu năm 2020 đã phát hiện ra rằng khi mỡ bụng vượt quá mức trung bình có thể làm tăng 39% nguy cơ mắc chứng mất trí nhớ trong vòng 15 năm so với những người có vòng eo bình thường.

Theo SCMP, hiện nay, một nghiên cứu mới cho thấy những người có lượng mỡ bụng cao hơn có nguy cơ bị teo não cao hơn theo tuổi tác.

Cyrus Raji, Giáo sư về X quang và thần kinh tại Trường Y Đại học Washington và là một trong những tác giả nghiên cứu, giải thích lượng mỡ bụng lớn làm tăng mức độ viêm nhiễm trong cơ thể. Khi mức độ viêm nhiễm tăng lên, đặc biệt khi nó trở nên mạn tính, nó liên quan đến việc teo não và do đó có thể tăng nguy cơ mắc chứng mất trí.

Ông giải thích đây là một lý do tại sao thừa cân ở tuổi trung niên - tức là ở độ tuổi bốn mươi và năm mươi, có thể dẫn đến chứng mất trí nhớ sau này.

Vòng eo to có liên quan đến chứng mất trí nhớ khi về già? ảnh 2Chế độ ăn uống giàu chất dinh dưỡng, bao gồm các loại thức ăn giàu omega-3 và rau củ quả, có thể giúp duy trì sức khỏe não bộ. (Nguồn: Uclahealth)

Huấn luyện viên dinh dưỡng và sức khỏe Amanda Corse của Fizz Fitness ở Tanzania, giải thích: “Khi chúng ta ăn nhiều calo hơn mức cơ thể cần đốt cháy, đặc biệt là thực phẩm chứa nhiều đường hoặc chất béo, cơ thể chúng ta có một hệ thống tiện lợi để dự trữ lượng calo đó cho những nhu cầu năng lượng sau này, thường là ở mô mỡ bên dưới da - tức là mỡ dưới da."

“Thường xuyên ăn uống quá mức và không vận động, cùng với căng thẳng cao độ và giấc ngủ kém chất lượng có thể thúc đẩy sự tích tụ của chất béo nội tạng nguy hiểm hơn, đôi khi được gọi là “mỡ ẩn” vì nó ôm lấy các cơ quan trong khoang bụng của bạn, bao gồm cả gan," cô ấy nói.

Loại chất béo này có liên quan đến bệnh tiểu đường, bệnh tim, đột quỵ và hiện nay dường như nó còn gây ra chứng mất trí nhớ.

Corse nói lý tưởng nhất là giữ lượng mỡ nội tạng ở mức dưới 10% tổng lượng mỡ trong cơ thể. Nếu nó bắt đầu tăng lên, bạn phải chú ý đến lối sống của mình.

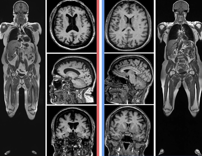
Giáo sư Raji đã phân tích ảnh chụp MRI toàn cơ thể của hai phụ nữ 61 tuổi: một người có lượng mỡ nội tạng và dưới da cao, người còn lại có lượng mỡ bình thường.

Chứng teo não xuất hiện rõ ràng ở người phụ nữ có lượng mỡ cơ thể cao hơn. Kết quả MRI não của người này cho thấy những khoảng trống rất rộng.

Vòng eo to có liên quan đến chứng mất trí nhớ khi về già? ảnh 3Chứng teo não xuất hiện rõ ràng với nhiều khoảng trống trong não ở người phụ nữ có lượng mỡ cơ thể cao hơn (bên trái). (Nguồn: Cyrus Raji)

Giáo sư Raji nói: “Chúng tôi đã tìm thấy sự khác biệt về giới tính, trong đó phụ nữ có mức độ teo não cao hơn nam giới liên quan đến việc tăng mỡ bụng.” Nhưng điều này cần nghiên cứu thêm.

Dưới đây là một số biện pháp giúp bạn tránh nguy cơ teo não:

1. Chế độ ăn uống cân bằng: Chế độ ăn uống giàu chất dinh dưỡng, bao gồm các loại thức ăn giàu omega-3 và rau củ quả, có thể giúp duy trì sức khỏe não bộ.

2. Vận động thể chất: Việc thường xuyên tập thể dục rất có lợi cho sức khỏe não bộ. Vận động tăng cường lưu lượng máu đến não và có thể giúp duy trì trí nhớ và chức năng não.

3. Tránh tiêu thụ quá nhiều thực phẩm siêu chế biến: Thức ăn siêu chế biến chứa nhiều calo rỗng và chất béo bão hòa không tốt cho sức khỏe não bộ.

4. Hạn chế tiêu thụ rượu và thuốc lá: Rượu và thuốc lá có thể gây hại cho não và góp phần gây teo não.

5. Giữ tinh thần lạc quan: Căng thẳng và áp lực có thể gây hại cho sức khỏe não bộ. Vì vậy hãy thử thiền và tập luyện yoga để giảm căng thẳng.

6. Giảm cân nếu cần: Nếu bạn có vòng eo lớn hơn mức bình thường, hãy cân nhắc giảm cân theo hướng cân đối.

7. Thiết lập giấc ngủ đủ và chất lượng: Giấc ngủ đủ lâu và đủ sâu có tác động lớn đến sức khỏe não bộ. Hãy đảm bảo bạn có giấc ngủ đủ và đúng giờ.

8. Thường xuyên kiểm tra sức khỏe: Điều này có thể giúp phát hiện sớm bất kỳ vấn đề sức khỏe liên quan đến teo não hoặc suy giảm trí tuệ.

9. Tham khảo ý kiến bác sỹ: Nếu bạn lo lắng về sức khỏe não bộ của mình hoặc có yếu tố nguy cơ gia đình liên quan đến bệnh teo não, hãy thảo luận với bác sỹ để được tư vấn cụ thể và theo dõi sức khỏe não bộ của bạn./.

(Vietnam+)

Tin cùng chuyên mục

Tên lửa Ariane 6 phóng hai vệ tinh dẫn đường Galileo vào ngày 17/12. (Nguồn: Space News)

Châu Âu phóng thành công hai vệ tinh Galileo mới

Hai vệ tinh Galileo vừa được EU phóng thành công ngày 17/12, đánh dấu bước tiến quan trọng trong nỗ lực duy trì hệ thống định vị độc lập và năng lực phóng vệ tinh riêng của châu Âu.