Vietnam+ (VietnamPlus)
  • Tiếng Việt
  • English
  • Français
  • Español
  • 中文
  • Русский

Khu vực

Bồ Đào Nha

Chính trị Thế giới Kinh tế Xã hội Đời sống Văn hóa Thể thao Khoa học Công nghệ Ôtô-Xe máy Môi trường Du lịch Thị trường Chuyện lạ RapNewsPlus News Game Nội dung thu phí
Thiên thạch khổng lồ bay qua bầu trời Bồ Đào Nha

Thiên thạch khổng lồ bay qua bầu trời Bồ Đào Nha

20/05/2024 16:30

Đêm 19/5, nhiều người dân Bồ Đào Nha đã được chứng kiến hiện tượng thiên nhiên kỳ thú khi thiên thạch có kích thước rất lớn bay ngang qua bầu trời nước này, tạo nên quầng sáng lạ mắt.

(Ảnh: theguardian.com)

Quần thể hơn 500 viên đá đứng được tìm thấy ở Tây Ban Nha

19/08/2022 07:36
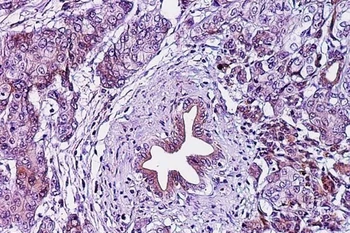
Lớp cắt biểu bì ung thư tuyến tụy. (Nguồn: eurekalert.org)

Tìm ra phương pháp giúp ngăn ngừa sự tiến triển của ung thư tuyến tụy

12/01/2022 17:10
Lỗ sâu đi qua được là những cánh cửa thông qua không thời gian có thể tạo ra những đường tắt cho những chuyến du hành khắp vũ trụ. (Nguồn: sci-news.com)

Nhà khoa học tiết lộ thông tin độc đáo về lỗ sâu trong vũ trụ

30/08/2021 08:23
João Rosa, nhà vật lý tại Đại học Aveiro ở Bồ Đào Nha phát hiện ra rằng có thể dịch chuyển qua lỗ sâu nếu như giải quyết được vấn đề liên quan đến lực hấp dẫn.
Điều trị cho bệnh nhân nhiễm COVID-19 tại bệnh viện ở Barcelona, Tây Ban Nha, ngày 4/8/2021. (Ảnh: AFP/TTXVN)

Tìm ra cơ chế giải thích mức độ mắc COVID-19 khác nhau

05/08/2021 13:49
Sự thay đổi trong tế bào lympho T giải thích vì sao một số người nhiễm virus SARS-CoV-2 chỉ có triệu chứng nhẹ, thậm chí không có triệu chứng, trong khi một số khác diễn biến nặng và phức tạp.
Phát hiện kinh ngạc về các trạng thái cảm xúc của loài cá

Phát hiện kinh ngạc về các trạng thái cảm xúc của loài cá

29/10/2017 16:56
Lần đầu tiên các nhà khoa học chứng minh được rằng loài cá có thể có những phản ứng sinh học và thần kinh học trong hệ thần kinh trung ương trước những những kích thích tình cảm.
Hóa thạch hộp sọ 400.000 năm tuổi được tìm thấy tại khu vực hang động Aroeira. (Nguồn: phys.org)

Phát hiện xương sọ bí ẩn 400.000 năm tuổi tại Bồ Đào Nha

14/03/2017 14:33
Một hóa thạch sọ người có niên đại khoảng 400.000 năm phát hiện tại Bồ Đào Nha đang khiến giới khoa học tranh cãi về tổ tiên của người hiện đại sẽ được trưng bày ở Bảo tàng Khảo cổ học quốc gia Lisbon
Phát hiện hóa thạch của loài kỳ giông khổng lồ thời cổ đại

Phát hiện hóa thạch của loài kỳ giông khổng lồ thời cổ đại

27/03/2015 05:30
Các nhà khoa học Bồ Đào Nha vừa phát hiện được hóa thạch của con kỳ giông khổng lồ sống cách đây khoảng 220 triệu năm.
Phát hiện hóa thạch khủng long trên cạn lớn nhất châu Âu

Phát hiện hóa thạch khủng long trên cạn lớn nhất châu Âu

07/03/2014 09:39
Xương hóa thạch của một loài khủng long ăn thịt to lớn từng thống trị một vùng bờ biển kỷ Jura vừa được tìm thấy ở Bồ Đào Nha.
Loài động vật này có tên Plutomurus ortobalaganensis vừa được tìm thấy. (Nguồn: Internet)

Phát hiện loài động vật chân đốt sâu dưới mặt đất

28/02/2012 11:25
Các nhà khoa học Tây Ban Nha và Bồ Đào Nha vừa phát hiện một loài động vật chân đốt ở độ sâu nhất gần 2km dưới mặt đất ở Abkhazia.

Đọc nhiều

Vì sao năm 2026 nên bao sái ban thờ trước ngày ông Công ông Táo?

Chọn ngày và khung giờ đẹp để cúng ông Công ông Táo năm 2026

Lễ đón Tổng Bí thư Tô Lâm thăm cấp Nhà nước tới CHDCND Lào

Văn khấn Tổ tiên và Thần linh trong ngày mùng 1 Tết Nguyên đán Bính Ngọ

Lãnh tụ tối cao Iran Ali Khamenei rút vào nơi ẩn náu

Infographics

Vì sao Quy Nhơn vào Top 25 điểm đến xu hướng hàng đầu thế giới năm 2026

Vì sao Quy Nhơn vào Top 25 điểm đến xu hướng hàng đầu thế giới năm 2026

21/02/2026 21:33

Video

Ấn tượng giống ngựa lùn linh vật của vùng đất hoang sơ Shetland

Ấn tượng giống ngựa lùn linh vật của vùng đất hoang sơ Shetland

21/02/2026 20:33

Podcast

Hoài niệm Tết xưa: Những phong tục Tết giờ chỉ còn trong ký ức

Hoài niệm Tết xưa: Những phong tục Tết giờ chỉ còn trong ký ức

Nghe
Khám phá phong tục gợi nhiều cảm xúc nhất mỗi dịp Năm mới ở các nước châu Á

Khám phá phong tục gợi nhiều cảm xúc nhất mỗi dịp Năm mới ở các nước châu Á

Nghe
Giải mã nghi lễ Tết Việt: Ý nghĩa đặc biệt của hai lễ vật dâng cúng gia tiên

Giải mã nghi lễ Tết Việt: Ý nghĩa đặc biệt của hai lễ vật dâng cúng gia tiên

Nghe
VNANET Báo Tin tức Báo Dân tộc và Miền núi BNews Bizhub Lao News Thai News Happy Vietnam Yonhap Vietnam News Le Courrier Báo Ảnh Việt Nam VNews
Vietnam+ (VietnamPlus)

Cơ quan chủ quản: THÔNG TẤN XÃ VIỆT NAM

Tổng Biên tập: TRẦN TIẾN DUẨN

Phó Tổng Biên tập: NGUYỄN THỊ TÁM, KHÚC THANH THỦY

  • Sở hữu trí tuệ
  • Quy định sử dụng
  • RSS
  • Hỗ trợ
  • Ngôn ngữ
  • TTXVN
  • Dịch vụ tin
  • Quảng cáo
  • Liên hệ
Chung nhan Tin Nhiem Mang

Giấy phép số: 1374/GP-BTTTT do Bộ Thông tin và Truyền thông cấp ngày 11/9/2008.

Quảng cáo: Phó TBT Nguyễn Thị Tám: 093.5958688, Email: tamvna@gmail.com

Điện thoại: (024) 39411349 - (024) 39411348, Fax: (024) 39411348

Email: vietnamplus2008@gmail.com

© Bản quyền thuộc về VietnamPlus, TTXVN. Cấm sao chép dưới mọi hình thức nếu không có sự chấp thuận bằng văn bản.

  • Trang chủ
  • Chính trị
  • Thế giới
    • ASEAN
    • Châu Á-TBD
    • Trung Đông
    • Châu Âu
    • Châu Mỹ
    • Châu Phi
  • Kinh tế
    • Kinh doanh
    • Tài chính
    • Tín dụng nông thôn
    • Chứng khoán
    • Bất động sản
    • Doanh nghiệp
    • Thông tin doanh nghiệp
    • Thông cáo báo chí
  • Xã hội
    • Giáo dục
    • Y tế
    • Pháp luật
    • Giao thông
    • Người Việt bốn phương
  • Đời sống
    • Phong cách
    • Sức khỏe
    • Làm đẹp
    • Ẩm thực
    • Anh hùng nhỏ
  • Văn hóa
    • Điện ảnh
    • Âm nhạc
    • Thời trang
    • Điểm Nhạc-Phim-Sách
    • Truyền thông
  • Thể thao
    • Bóng đá
    • Quần vợt
  • Khoa học
    • Khoa học ứng dụng
  • Công nghệ
    • Sản phẩm mới
  • Ôtô-Xe máy
  • Môi trường
  • Du lịch
    • Điểm đến
    • Lễ hội
    • Khách sạn/Resort
    • Tour mới
  • Thị trường
  • Chuyện lạ
  • RapNewsPlus
  • News Game
    • Game thời sự
    • Game giải trí
    • Game kiến thức
    • Thăm dò ý kiến
  • Nội dung thu phí
  • Media Center
      Tin ảnh Video Infographics Mega Story Timeline Podcast Short Video Tổng hợp Ảnh 360
  • Tin theo khu vực
    • Hà Nội
    • Tp. Hồ Chí Minh