Australia phát triển công cụ AI hỗ trợ phát hiện người mắc COVID-19

CovED cho phép chẩn đoán chính xác những người nhiễm SARS-CoV-2 nhờ phương pháp phân tích hình ảnh chụp cộng hưởng từ (CT) phổi của bệnh nhân.
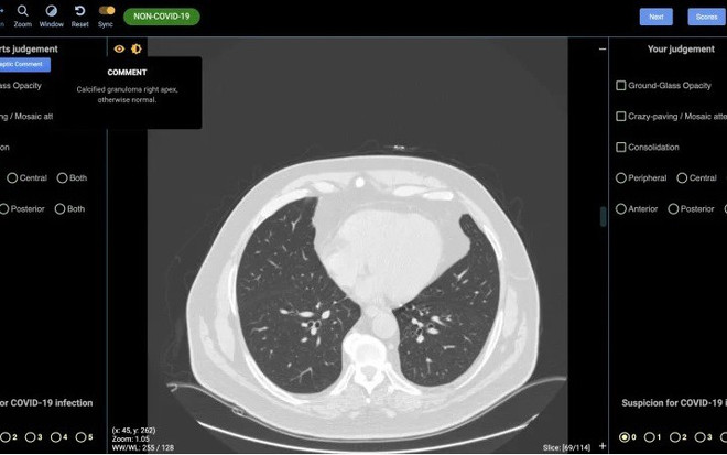
Australia phát triển công cụ AI hỗ trợ phát hiện người mắc COVID-19 ảnh 1Ảnh chụp CT phổi người không mắc Covid-19. (Nguồn: Detected-X)

Các nhà khoa học Australia đã thiết lập thành công một công cụ chẩn đoán hình ảnh trí tuệ nhân tạo (AI), hỗ trợ lực lượng nhân viên y tế trong việc xác định chính xác người nhiễm virus SARS-CoV-2 gây dịch bệnh viêm đường hô hấp cấp COVID-19.

Công ty khởi nghiệp DetectED-X, liên kết với Đại học Sydney, đã công bố một công nghệ mới, gọi là CovED, cho phép chẩn đoán chính xác những người nhiễm SARS-CoV-2 nhờ phương pháp phân tích hình ảnh chụp cộng hưởng từ (CT) phổi của bệnh nhân.

Giám đốc điều hành DetectED-X, Giáo sư Patrick Brennan, cho biết công nghệ AI mới hỗ trợ các chuyên gia hình ảnh trong lĩnh vực y tế, đọc hiểu và phân tích cặn kẽ những ảnh hưởng ở phổi của người được chụp CT, dựa trên một hệ thống AI có khả năng kết luận chính xác về việc liệu người được chẩn đoán có bị nhiễm SARS-CoV-2 hay không. Mọi thao tác và kết quả chuẩn đoán sẽ có sau khoảng một giờ hoạt động.

Giáo sư Brennan nói, bên cạnh các phương pháp xét nghiệm dựa trên phân tích dịch mũi, họng hoặc xét nghiệm máu, phương pháp chụp cộng hưởng từ phổi cũng cho kết quả chính xác về việc liệu người được xét nghiệm có mắc COVID-19 hay không.

[Phòng thí nghiệm Mỹ ra mắt thiết bị xét nghiệm SARS-CoV-2 trong 5 phút]

Tuy nhiên, số lượng người nghi nhiễm và đã mắc căn bệnh này đang gia tăng nhanh chóng, vượt xa số lượng nhân viên y tế lành nghề cần thiết, đủ khả năng để có thể chẩn đoán chính xác các bức ảnh chụp CT phổi.

Do đó, CovED sẽ cung cấp những phân tích thay thế bác sỹ X-quang, trong tình huống có quá nhiều bệnh nhân và không đủ nhân viên y tế, để xác định chính xác tổn thương phổi do virus SARS-CoV-19 gây ra.

Giáo sư Brennan khẳng định công nghệ này đặc biệt có giá trị ở những nước đang phát triển, nơi thiếu hụt lượng lớn các bác sỹ chuẩn đoán hình ảnh.

Bên cạnh đó, CovED giúp mọi người không chỉ có được kết luận chẩn đoán COVID-19 chính xác, mà còn hỗ trợ phát hiện sớm các trường hợp tổn thương khác, có khả năng đe dọa đến tính mạng người bệnh.

Nền tảng CovED, có thể được truy cập ở bất cứ nơi đâu có kết nối internet, được cung cấp miễn phí và được hỗ trợ bởi các chuyên gia chăm sóc sức khỏe và các tập đoàn đa quốc gia./.

(Vietnam+)

Tin cùng chuyên mục

Trạm Không gian quốc tế (ISS). (Nguồn: NASA)

NASA lần đầu rút ngắn sứ mệnh trên ISS

Giám đốc NASA Jared Isaacman cho biết ông và các chuyên gia y tế quyết định đưa phi hành đoàn Crew-11 về Trái Đất sớm vì trạm ISS không có khả năng chẩn đoán và điều trị dứt điểm tình trạng sức khỏe.