Cứu sống một bệnh nhân Hàn Quốc chảy máu dưới nhện nguy kịch

Chảy máu dưới nhện lan tỏa là một tổn thương có vị trí khó, phức tạp và tinh vi, cần một bác sỹ chẩn đoán hình ảnh chuyên sâu và nhiều kinh nghiệm mới chẩn đoán được.
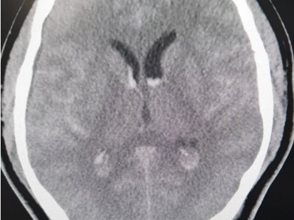
Cứu sống một bệnh nhân Hàn Quốc chảy máu dưới nhện nguy kịch ảnh 1Hình ảnh phim chụp xuất huyết dưới nhện lan tỏa - tụ máu não thất của bệnh nhân Hàn Quốc. (Nguồn: nhandan.com.vn)

Chiều 1/3, thông tin từ Bệnh viện Bạch Mai cho biết, nhờ phối hợp nhịp nhàng, hiệu quả nhiều chuyên khoa, các bác sỹ Bệnh viện Bạch Mai đã cứu sống bệnh nhân Bae Hyo Nam bị chảy máu dưới nhện thể nặng.

Phó Giáo sư-Tiến sỹ Mai Duy Tôn, Giám đốc Trung tâm Đột quỵ, Bệnh viện Bạch Mai chia sẻ: Bệnh nhân Bae Hyo Nam (46 tuổi, người Hàn Quốc) sinh sống và làm việc tại Việt Nam được 7 năm.

Ngày 9/12/2020, bệnh nhân cùng nhóm đối tác đang chơi golf ở Hòa Bình, đột ngột đau đầu dữ dội, buồn nôn và nôn nhiều.

Bệnh nhân được đưa vào cấp cứu tại Bệnh viện đa khoa tỉnh Hòa Bình, được chụp CT sọ não và chẩn đoán chảy máu dưới nhện. Bệnh nhân được chuyển lên Trung tâm Đột quỵ, Bệnh viện Bạch Mai.

Ngay khi tiếp nhận, các bác sỹ Trung tâm Đột quỵ đã nghi ngờ nguyên nhân chảy máu dưới nhện là do dị dạng mạch não. Bệnh nhân được đi chụp CTA - chụp mạch não phát hiện chảy máu dưới nhện lan tỏa - chảy máu não thất do vỡ phình lóc tách động mạch đốt sống phải đoạn V4.

Đây là một tổn thương có vị trí khó, phức tạp và tinh vi, thường cần một bác sỹ chẩn đoán hình ảnh chuyên sâu và nhiều kinh nghiệm mới chẩn đoán được.

Các bác sỹ nhận định đây là một ca đột quỵ nặng, bệnh nhân sẽ tử vong nếu không được can thiệp cấp cứu.

Ngay lập tức bệnh nhân được hội chẩn đa chuyên khoa gồm Trung tâm Đột quỵ, Trung tâm Điện quang, Khoa Phẫu thuật thần kinh và đi đến thống nhất tiến hành can thiệp Điện quang cấp cứu, có chuyên khoa Phẫu thuật thần kinh chuẩn bị sẵn sàng - phòng biến chứng vỡ thì hai sẽ mổ cấp cứu.

Bệnh nhân được đưa vào phòng can thiệp mạch ngay lập tức. Vị trí mạch máu não tổn thương là một vị trí rất nguy hiểm, can thiệp rất khó khăn và có nguy cơ biến chứng nhồi máu vùng thân não rất cao. Sau hơn một giờ căng thẳng, ca can thiệp đã thành công. Bệnh nhân được đưa về phòng hồi sức tích cực của Trung tâm Đột quỵ.

[Bệnh viện Đà Nẵng cứu sống một người bị dao đâm thủng tim]

Can thiệp mạch chỉ là một trong nhiều bước điều trị toàn diện cho bệnh nhân chảy máu dưới nhện - chảy máu não thất.

Những ngày sau, Trung tâm Đột quỵ phối hợp với Trung tâm Phục hồi chức năng tiến hành điều trị và phục hồi chức năng sớm, ngay tại giường cho bệnh nhân.

Sau 12 ngày tích cực điều trị và được chăm sóc tận tình, tình trạng bệnh nhân đã dần ổn định và tiến triển tốt. Bệnh nhân tỉnh táo, giao tiếp được, tự thở, huyết động ổn định.

Ngày 21/12/2020, bệnh nhân được chuyển sang Bệnh viện Vinmec để tiếp tục điều trị. Sau 5 tuần điều trị tại Bệnh viện Vinmec, bệnh nhân được chuyển đến Viện Y học cổ truyền Bộ Công an để điều trị và phục hồi chức năng.

Bệnh tình của bệnh nhân đã dần bình phục và ngày 17/2/2021, bệnh nhân xin về Hàn Quốc để tiếp tục điều trị và phục hồi chức năng.

Bệnh nhân vô cùng cảm động và đã gửi thư cảm ơn đến các y bác sỹ đúng dịp kỷ niệm 66 năm ngày thầy thuốc Việt Nam (27/2/1955- 27/2/2021).

Trong thư gửi Tập thể Y bác sỹ Trung tâm Đột quỵ, bệnh nhân viết: “Xin bày tỏ tấm lòng biết ơn sâu sắc đến các vị lãnh đạo, các bác sỹ, y tá, điều dưỡng của Trung tâm Đột quỵ - Bệnh viện Bạch Mai đã chăm sóc và tận tình điều trị bệnh cứu sống tôi…”

Giám đốc Trung tâm Đột quỵ, Bệnh viện Bạch Mai chia sẻ: Trong những trường hợp như thế này, việc tiên lượng, đánh giá đúng tình trạng bệnh nhân, khẩn trương đưa ra phương án xứ trí kịp thời, hợp lý là điều kiện tiên quyết để cứu sống bệnh nhân.

Ca can thiệp mạch thành công, bệnh nhân được cứu sống và dần hồi phục các chức năng sau cơn đột quỵ nặng là kết quả của sự phối kết hợp hiệu quả, đầy trách nhiệm của các thầy thuốc Trung tâm Đột quỵ, Trung tâm Điện Quang, Khoa Phẫu thuật Thần kinh và Trung tâm Phục hồi chức năng, Bệnh viện Bạch Mai./.

(TTXVN/Vietnam+)

Tin cùng chuyên mục

Bác sỹ Bệnh viện Nhi đồng 1 Thành phố Hồ Chí Minh khám cho trẻ nhiễm HIV. (Ảnh: Đinh Hằng/TTXVN)

Bài 1: Nơi hồi sinh, mở lối tương lai

Trong suốt 20 năm qua, Bệnh viện Nhi đồng 1 và Nhi đồng 2 Thành phố Hồ Chí Minh đã điều trị cho hàng ngàn trẻ nhiễm HIV, trở thành chỗ dựa, nơi hồi sinh cuộc đời cho trẻ nhiễm HIV.

Khánh thành cơ sở 2 bệnh viện Bạch Mai và Việt Đức

Khánh thành cơ sở 2 bệnh viện Bạch Mai và Việt Đức

Đến thời điểm này, các hạng mục xây dựng của hai bệnh viện Bạch Mai và Việt Đức đã được hoàn thành bảo đảm yêu cầu chất lượng, kỹ thuật, mỹ thuật với tổng diện tích sàn xây dựng trên 235.000 m2.