Phẫu thuật cắt bỏ khối u ung thư đường kính 20cm ở môi một phụ nữ

Bệnh nhân đến khám tại Bệnh viện K cơ sở Tân Triều khi có tổn thương sùi lớn chiếm toàn bộ vùng môi, miệng, kích thước 15x20cm, khối u có chảy máu, mủ rỉ, hình thái gây mất thẩm mỹ.
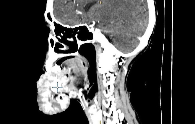
Phẫu thuật cắt bỏ khối u ung thư đường kính 20cm ở môi một phụ nữ ảnh 1Phim chụp khối u của bệnh nhân. (Ảnh: PV/Vietnam+)

Ngày 7/6, theo thông tin từ Bệnh viện K, các bác sỹ của bệnh viện vừa phẫu thuật thành công loại bỏ khối ung thư vùng mặt, đường kính hơn 20cm cho bà Trần Thị Y., 64 tuổi quê tại xã Hoằng Hợp, huyện Hoằng Hóa, tỉnh Thanh Hóa.

Trước đó, vào ngày 10/5, bệnh nhân đến khám tại Bệnh viện K (cơ sở Tân Triều) khi có tổn thương sùi lớn chiếm toàn bộ vùng môi, miệng, khối u có chảy máu, mủ rỉ, hình thái gây mất thẩm mỹ.

[Các nhà khoa học giải mã cơ chế liên quan một số dạng ung thư máu]

Kết quả phim chụp cắt lớp vi tính cho thấy khối u vùng môi dưới kích thước lớn 15x20cm, xâm lấn xương hàm dưới, sàn miệng, lưỡi, di căn nhiều hạch cổ hai bên kích thước 2-3 cm. Bác sỹ chỉ định cho bệnh nhân Y. nhập viện với chẩn đoán ung thư môi dưới T4N2M0.

Tiến sỹ Ngô Xuân Quý - Trưởng khoa Ngoại đầu cổ (Bệnh viện K) cho biết qua khai thác nhanh bệnh sử, bệnh nhân có khối u này khoảng 3 năm nay, khối u kích thước tăng dần, tuy nhiên bà Y. lại không đến bệnh viện khám chữa bệnh ngay từ đầu mà nghe theo hướng dẫn của một số người dân sống thực dưỡng để ngăn chặn sự phát triển khối u.

Qua nhiều năm ăn thực dưỡng, sức khỏe bệnh nhân Y. ngày càng suy kiệt, tình trạng khối u không thuyên giảm, ngày càng tăng kích thước, vì thêm phần mặc cảm mà bệnh nhân Y. không đi khám, đế khi u quá lớn, có dấu hiệu ngày càng to nhanh, hình thù quá mất thẩm mỹ, không thể ăn uống thì bệnh nhân mới tới Bệnh viện K.

“Chúng tôi cho rằng đây là điều đáng tiếc bởi nếu như bệnh nhân Y. không theo chế độ thực dưỡng mà đi khám sớm hơn, tìm tới y học hiện đại và kết hợp các phương pháp thì việc điều trị sẽ đơn giản hơn rất nhiều và bệnh nhân cũng không phải trải qua một thời gian dài sống trong tự ti, mắc cảm như vậy nữa,” bác sỹ Quý chia sẻ thêm.

Khi vào viện, bệnh nhân được đánh giá thể trạng suy kiệt, tình trạng đái tháo đường mức độ nặng, đường huyết luôn dao động 20 mmol/l, HbA1c rất cao 13,5%, tiềm ẩn nguy cơ hôn mê. Hơn nữa, do khối u xuất hiện ở vị trí vùng môi, xâm lấn rộng xung quanh, diện cắt bỏ lớn vì vậy bác sỹ phải cân nhắc rất kỹ lưỡng đồng thời phải hồi sức tốt cho bệnh nhân để đảm bảo cho cuộc phẫu thuật diễn ra thuận lợi nhất.

Với trường hợp này, nếu bệnh nhân không phẫu thuật thì khối u sẽ ngày càng to, thậm chí vỡ loét, chảy máu, ảnh hưởng nghiêm trọng sức khỏe, thậm chí nguy cơ tử vong.

Ca phẫu thuật cho bệnh nhân diễn ra ngày 1/6, toàn bộ khối u và khối hạch di căn vùng cổ đã được cắt bỏ. Sau mổ, bệnh nhân sức khỏe ổn định bình thường, có thể ăn uống, nói chuyện sau ít ngày, bệnh nhân sẽ tiếp tục được theo dõi, điều trị và mổ tạo hình sau này.

Bác sỹ Qúy phân tích, chế độ ăn thực dưỡng là một chế độ ăn được nhiều người áp dụng trong những năm gần đây, nhiều người cho rằng chế độ ăn này có thể điều trị cả bệnh ung thư. Thực tế, đến hiện tại không có cơ sở khoa học, nghiên cứu nào chứng minh và công nhận thực dưỡng là một phương pháp điều trị ung thư, cũng không có nghiên cứu chính thức nào cho thấy chế độ thực dưỡng hữu ích đối với người bệnh. Việc nhiều người bệnh giữ niềm tin vào quan điểm này là sai lầm, không mang tính khoa học.

Hiện tại, với các phác đồ đa mô thức được áp dụng như phẫu thuật, hóa xạ trị, điều trị miễn dịch, điều trị đích... người bệnh ngay khi thấy có dấu hiệu bất thường của cơ thể nên tới thăm khám chuyên khoa./.

(Vietnam+)

Tin cùng chuyên mục

Khánh thành cơ sở 2 bệnh viện Bạch Mai và Việt Đức

Khánh thành cơ sở 2 bệnh viện Bạch Mai và Việt Đức

Đến thời điểm này, các hạng mục xây dựng của hai bệnh viện Bạch Mai và Việt Đức đã được hoàn thành bảo đảm yêu cầu chất lượng, kỹ thuật, mỹ thuật với tổng diện tích sàn xây dựng trên 235.000 m2.