Bạc Liêu: Phẫu thuật cứu kịp thời bệnh nhân bị áp xe vùng cổ nguy hiểm

Bác sỹ khuyến cáo, áp xe cổ thường hình thành từ các nhiễm trùng vùng răng, hàm, mặt, cổ, có khả năng lan rộng toàn bộ vùng cổ và xuống trung thất, nếu chậm trễ điều trị sẽ nguy hiểm đến tính mạng.
Bạc Liêu: Phẫu thuật cứu kịp thời bệnh nhân bị áp xe vùng cổ nguy hiểm ảnh 1Hình ảnh cổ bệnh nhân sau phẫu thuật được cắt bỏ khối áp xe. (Ảnh: Chanh Đa/TTXVN)

Chiều 20/6, lãnh đạo Bệnh viện Đa khoa Thanh Vũ Medic Bạc Liêu cho biết, đơn vị vừa cứu thành công một bệnh nhân bị áp xe vùng cổ lan tỏa rất nặng, có nguy cơ tử vong cao.

Trước đó, ngày 17/6, Phòng khám Tai-Mũi-Họng, Bệnh viện Đa khoa Thanh Vũ Medic Bạc Liêu tiếp nhận nam bệnh nhân tên C.Đ.H (54 tuổi), ngụ tại phường 2, thành phố Bạc Liêu, nhập viện trong tình trạng sưng, nóng, đỏ, đau vùng cổ bên trái.

Khoảng hai ngày trước, ông H bị đau răng, có điều trị uống thuốc ở nhà nhưng không giảm. Thấy vùng mặt và cổ bên trái của ông H càng lúc càng sưng, đau và to dần nên người nhà đưa đến bệnh viện điều trị.

Qua thăm khám, thực hiện các biện pháp cận lâm sàng cần thiết, các bác sỹ chẩn đoán bệnh nhân bị áp xe cổ lan tỏa.

[Bến Tre: Cứu sống một trường hợp có vết thương tim nguy kịch]

Ngay lập tức, các bác sỹ đã tiến hành phẫu thuật. Ca phẫu thuật diễn ra trong 50 phút. Các bác sỹ đã thực hiện mở cạnh cổ bên trái dẫn lưu áp xe, tránh gây biến chứng chèn ép đường thở và tránh nhiễm trùng lan tỏa vào trung thất.

Quá trình hậu phẫu, bệnh nhân tỉnh táo, tiếp xúc tốt, phần mặt và cổ giảm sưng; dự kiến sẽ được xuất viện trong vài ngày tới.

Theo Bác sỹ chuyên khoa I Nguyễn Hồng Trứ, Trưởng phòng khám Tai-Mũi-Họng, Bệnh viên Đa khoa Thanh Vũ Medic Bạc Liêu, đây là một ca bệnh rất nghiêm trọng, nếu không điều trị kịp thời sẽ gây nguy hiểm đến tính mạng.

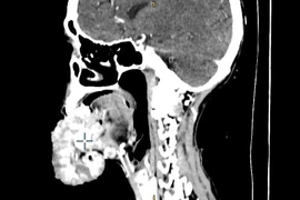
Bạc Liêu: Phẫu thuật cứu kịp thời bệnh nhân bị áp xe vùng cổ nguy hiểm ảnh 2Khối áp xe lan tỏa ở vùng cổ trái. (Ảnh: Chanh Đa/TTXVN)

Bác sỹ Chuyên khoa I Nguyễn Hồng Trứ khuyến cáo, áp xe cổ thường hình thành từ các nhiễm trùng vùng răng, hàm, mặt, cổ, có khả năng lan rộng toàn bộ vùng cổ và xuống trung thất.

Đây là bệnh lý thường gặp nhưng bệnh nhân hay chậm trễ điều trị, khiến ổ áp xe tổn thương lan rộng, dẫn đến các biến chứng đe dọa tính mạng. Vì vậy, khi có những triệu chứng sưng, đau bất thường ở vùng mặt, hàm, cổ... bệnh nhân phải đến ngay các cơ sở y tế có uy tín để được bác sỹ thăm khám và điều trị kịp thời./.

(TTXVN/Vietnam+)

Tin cùng chuyên mục

Khánh thành cơ sở 2 bệnh viện Bạch Mai và Việt Đức

Khánh thành cơ sở 2 bệnh viện Bạch Mai và Việt Đức

Đến thời điểm này, các hạng mục xây dựng của hai bệnh viện Bạch Mai và Việt Đức đã được hoàn thành bảo đảm yêu cầu chất lượng, kỹ thuật, mỹ thuật với tổng diện tích sàn xây dựng trên 235.000 m2.