Sự tương đồng giữa hội chứng mệt mỏi mãn tính và COVID kéo dài

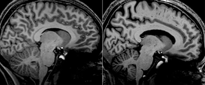
Nhóm nghiên cứu nhận thấy ở những bệnh nhân mắc hội chứng COVID kéo dài và những người mắc ME/CFS, thân não lớn hơn đáng kể so với những người chưa bao giờ mắc hai hội chứng nói trên.
Sự tương đồng giữa hội chứng mệt mỏi mãn tính và COVID kéo dài ảnh 1Hình ảnh chụp MRI não của bệnh nhân mắc COVID kéo dài (trái) và ME/CFS (phải). (Nguồn: news.griffith.edu.au)

Các nhà khoa học của Trung tâm quốc gia về miễn dịch thần kinh và các bệnh mới xuất hiện, thuộc trường Đại học Griffith (bang Queensland), đã phát hiện những thay đổi tương tự trong cấu trúc não ở những người mắc hội chứng mệt mỏi mãn tính và COVID kéo dài.

Đây được coi là nghiên cứu đầu tiên trên thế giới về vấn đề này.

Trưởng nhóm nghiên cứu, Tiến sỹ Kiran Thapaliya, cho biết các nhà khoa học đã sử dụng máy chụp cộng hưởng từ (MRI) chuyên biệt, có độ phân giải cao, cung cấp hình ảnh sắc nét và thông tin chi tiết hơn, có thể phát hiện những bất thường khó nhận thấy nếu chụp bằng các máy chụp cộng hưởng từ khác, để so sánh não của 28 người trưởng thành - gồm 8 người mắc hội chứng COVID kéo dài, 10 người được chẩn đoán mắc bệnh viêm não tủy/hội chứng mệt mỏi mãn tính (ME/CFS) và 10 người tình nguyện khỏe mạnh.

Nhóm nghiên cứu nhận thấy ở những bệnh nhân mắc hội chứng COVID kéo dài và những người mắc ME/CFS, thân não lớn hơn đáng kể so với những người chưa bao giờ mắc hai hội chứng nói trên.

Theo các nhà khoa học, những thay đổi về cấu trúc trong thân não của các bệnh nhân mắc ME/CFS và COVID kéo dài có thể dẫn đến sự suy giảm nghiêm trọng chức năng của não.

Tiến sỹ Kiran Thapaliya cho biết sự tương đồng về thân não ở những người mắc COVID kéo dài và ME/CFS có thể giải thích lý do vì sao họ có các triệu chứng giống nhau, chẳng hạn như sương mù não, mệt mỏi, đau đớn và khó thở.

Giáo sư Sonya Marshall-Gradnisnik, Giám đốc Trung tâm quốc gia về miễn dịch thần kinh và các bệnh mới xuất hiện, cho biết các nhà khoa học đã báo cáo về những tổn thương tương tự đối với các thụ thể trên tế bào khiến não không nạp đủ canxi. Bệnh nhân có thể gặp các triệu chứng khác nhau tùy thuộc tế bào nào trong cơ thể bị ảnh hưởng, từ sương mù não, mỏi cơ đến khả năng suy nội tạng.

[Hội chứng COVID kéo dài ảnh hưởng đến hoạt động thường nhật của trẻ]

Nhóm nghiên cứu đang hợp tác với Tiến sỹ James Jarman, chuyên gia về cơn đau và cũng là bác sĩ gây mê, để thử nghiệm naltrexone - một loại thuốc thường được sử dụng để điều trị chứng nghiện rượu và phụ thuộc vào thuốc phiện, ở những bệnh nhân mắc COVID kéo dài. Nghiên cứu về naltrexone liều thấp được sử dụng như một loại thuốc tiềm năng điều trị COVID kéo dài đang mang lại một số tín hiệu lạc quan trong tương lai.

Liên quan hội chúng COVID kéo dài, Viện Huyết thanh Statens (SSI) của Đan Mạch ngày 13/3 cho biết cứ 100 người mắc COVID-19 ở nước này thì có 17 người trải qua "những ảnh hưởng lâu dài" từ 6-12 tháng sau khi mắc bệnh.

SSI - cơ quan nghiên cứu và y tế của Chính phủ Đan Mạch, đã tiến hành nghiên cứu đối với 840.000 người Đan Mạch mắc hội chứng COVID kéo dài, bắt đầu từ tháng 8/2021.

Theo kết quả nghiên cứu sơ bộ, các triệu chứng phổ biến nhất là thay đổi vị giác hoặc khứu giác, mệt mỏi, khó thở. Phụ nữ dễ bị hội chứng COVID kéo dài hơn nam giới và những người trung niên cũng như những người phải nhập viện vì COVID-19 bị ảnh hưởng của COVID kéo dài thường xuyên hơn.

Kết quả nghiên cứu cũng cho thấy những người đã tiêm mũi tăng cường vaccine ngừa COVID-19 ít gặp phải các triệu chứng COVID kéo dài hơn so với những người tiêm đủ liều cơ bản. Điều này cho thấy việc tiêm vaccine có thể giúp giảm nguy cơ phải chịu ảnh hưởng lâu dài sau khi mắc COVID-19.

Cũng theo SSI, những triệu chứng COVID kéo dài sau khi nhiễm biến thể Omicron và biến thể Delta khác nhau. Những người nhiễm biến thể Omicron ít bị mất vị giác hoặc khứu giác, khó thở và suy giảm nhận thức hơn những người nhiễm biến thể Delta./.
 

(TTXVN/Vietnam+)

Tin cùng chuyên mục

Kết nối tri thức toàn cầu: Chìa khoá phát triển hạ tầng AI và công nghệ xanh cho Việt Nam

Kết nối tri thức toàn cầu: Chìa khoá phát triển hạ tầng AI và công nghệ xanh cho Việt Nam

Sự kiện “Kết nối Khoa học và Công nghệ giữa chuyên gia Việt Nam ở nước ngoài và doanh nghiệp trong nước” diễn ra tại Thành phố Hồ Chí Minh sáng 27/11 trong khuôn khổ Diễn đàn Kinh tế mùa Thu 2025. Diễn đàn đã tập trung thảo luận vào ba trụ cột chiến lược: hạ tầng AI chủ quyền, công nghiệp bán dẫn và vật liệu xanh. 

Đại diện lãnh đạo các cơ quan, tổ chức trong nước và quốc tế tham dự Hội nghị Khoa học và Công nghệ hạt nhân toàn quốc lần thứ 16. (Ảnh: Thanh Phong/Vietnam+)

Nhân lực và hợp tác: Chìa khóa mở cánh cửa năng lượng hạt nhân Việt Nam

Hội nghị Khoa học và Công nghệ hạt nhân toàn quốc lần thứ 16 tại Đà Nẵng nhấn mạnh vai trò của các yếu tố nhân lực và hợp tác quốc tế trong tiến trình đưa năng lượng hạt nhân trở thành trụ cột phát triển bền vững. Đây là diễn đàn khoa học lớn nhất của ngành năng lượng nguyên tử, diễn ra trong thời điểm Việt Nam tái khởi động chương trình điện hạt nhân quốc gia và ban hành Luật Năng lượng nguyên tử (sửa đổi).