Sán dây dài 1cm sống trong não người đàn ông suốt 4 năm

Sán dây dài 1cm sống trong não người đàn ông trong suốt 4 năm

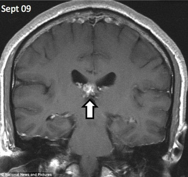
Hình chụp X-quang của một người đàn ông cho thấy anh ta đã bị một con sán dây dài 1cm đào sâu tới 5cm vào não từ trái qua phải.
Sán dây dài 1cm sống trong não người đàn ông trong suốt 4 năm ảnh 1Hình chụp não bệnh nhân bị sán dây xâm nhập. (Nguồn: DM)

Hình chụp X-quang của một người đàn ông cho thấy anh ta đã bị một con sán dây dài 1cm đào sâu tới 5cm vào não từ trái qua phải.

Đây là trường hợp sán ký sinh trong não người đầu tiên được phát hiện ở Anh. Con sán dây đã ở trong não người đàn ông này trong suốt 4 năm qua.

Có tên khoa học là Spirometra erinaceieuropaei, loại sán dây này khá hiếm gặp và mới chỉ có 300 ca nhiễm được ghi nhận trên toàn thế giới từ năm 1953. Chúng làm sưng các mô trong cơ thể, gây tụ máu, mất trí nhớ và đau đầu trầm trọng.

Hiện có rất ít hiểu biết về loại sán này, mặc dù con người có thể bị nhiễm sán do vô tình ăn phải động vật giáp xác bị nhiễm sán trong ao hồ, ăn thịt bò sát hay ếch nhái chưa được nấu chín, hay dùng một loại thuốc đắp làm từ ếch sống để chữa đau mắt của người Trung Quốc.

Các bác sỹ đã phẫu thuật gắp con sán ra khỏi não người đàn ông thành công. Rất may đây là loại sán lành, nếu nó thuộc một loại nguy hiểm hơn, nó có thể đẻ trứng và lũ sán nở ra sẽ ăn não người.

Để xác định chính xác con sán này thuộc loại nào, các bác sỹ thuộc tổ chức NHS Trust ở Addenbrooke đã lấy một mẫu gen của con vật để nghiên cứu. Kết quả là, mặc dù là loại sán lành, nhưng con sán này lại miễn dịch với các loại thuốc tẩy giun sán hiện có.

Các nhà khoa học Anh đã nghiên cứu cả DNA của loại sán này để tìm ra điểm yếu có thể điều trị bằng thuốc của chúng. Tiến sỹ Effrossyni Gkrania-Klotsas tới từ Addenbrooke cho biết: "Chúng tôi không ngờ sẽ gặp một trường hợp bị nhiễm sán ở Anh, nhưng việc con người ngày càng có nhiều cơ hội đi khắp thế giới cũng đồng nghĩa với việc những loài ký sinh hiếm gặp thỉnh thoảng vẫn xuất hiện. Chúng ta có thể phát hiện ra chúng qua chụp cộng hưởng từ, nhưng như vậy là không đủ thông tin để xác định loài hay điểm yếu của chúng."

"Quá trình nghiên cứu của chúng tôi cho thấy, chỉ với một mẫu DNA nhỏ, chúng tôi cũng có thể tìm ra mọi điều cần biết về loài ký sinh này. Điều này cho thấy việc xây dựng một cơ sở dữ liệu về bộ gen của giun sán ký sinh là cần thiết để xác định loài, từ đó có biện pháp điều trị hiệu quả."

Sán dây dài 1cm sống trong não người đàn ông trong suốt 4 năm ảnh 2Con sán dài 1cm đã đào sâu tới 5cm vào não bệnh nhân. (Nguồn: DM)

Tiến sỹ Hayley Bennett thuộc viện Wellcome Trust Sanger cho biết: "Một lát cắt mô nhỏ đã cho chúng tôi một cơ hội lớn để xác lập chuỗi gen đầu tiên của loại sán dây này. Tuy nhiên, chúng tôi chỉ có một đoạn DNA nặng khoảng 1/40 tỷ gam để nghiên cứu. Do đó, chúng tôi phải đưa ra những quyết định khó khăn về những gì mà chúng tôi muốn tìm kiếm từ đó."

Các nhà nghiên cứu đã dùng chuỗi gen này để tìm ra những điểm tương đồng và khác biệt giữa sán dây Spirometra và những loại giun sán ký sinh khác trong cơ sở dữ liệu. Họ đã tìm ra nhiều đặc điểm sinh học của chúng, ví dụ như chúng có một hệ thống vận chuyển nhỏ cỡ phân tử để vận chuyển protein quanh tế bào, có tác dụng hỗ trợ lớn cho việc thay đổi hình dáng cơ thể và thích nghi với môi trường trong vòng đời phức tạp của chúng.

Theo tiến sỹ Matt Berriman thuộc viện Sanger: "Đây là lần đầu tiên chúng tôi lập được chuỗi gen của loại sán này, từ đó dự đoán được khả năng ảnh hưởng của các loại thuốc hiện tại lên chúng. Có vẻ như loại sán này có khả năng miễn dịch tự nhiên với albendazone, một loại thuốc tẩy giun sán phổ biến. Tuy nhiên, nhiều loại thuốc tẩy giun sán mới đang được thử nghiệm và có thể sẽ có hiệu quả trong tương lai."/.

(Vietnam+)

Tin cùng chuyên mục