Phát hiện hàng trăm hạt trân châu chưa tiêu hóa trong bụng một cô bé

Trà sữa trân châu đang trở thành một món đồ uống rất thịnh hành trong giới trẻ, tuy nhiên ẩn sau những cốc trà sữa này là những nguy cơ khó lường đối với sức khỏe.
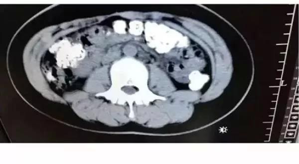
Phát hiện hàng trăm hạt trân châu chưa tiêu hóa trong bụng một cô bé ảnh 1Các hạt trân châu chưa được tiêu hóa hết. (Ảnh: 9GAG)

Bệnh viện nhân dân thành phố Chư Kỵ (Zhuji) thuộc tỉnh Chiết Giang (Zhejiang) của Trung Quốc mới đây đã phải tiếp nhận một bệnh nhân nữ 14 tuổi bị đau bụng và táo bón.

Phát hiện bụng cô bé phình to bất thường, các bác sỹ đã quyết định đưa bệnh nhân này đi chụp cắt lớp. Kết quả chụp cắt lớp cho thấy hàng trăm vật thể nhỏ hình tròn nằm trong khắp các cơ quan nội tạng, từ dạ dày, đại tràng, ruột và hậu môn.

Sau khi cùng nhau thảo luận, các bác sỹ kết luận những vật thể nhỏ này là các hạt trân châu chưa được tiêu hóa hết. Bác sỹ Zhang Louwei đã hỏi cô bé xem bệnh nhân có ăn gì khó tiêu trong vài ngày qua hay không. Cô bé thừa nhận đã uống một cốc trà sữa từ 5 ngày trước khi nhập viện.

Tuy nhiên, bác sĩ Zhang cho rằng số hạt trân châu này được tích tụ do cô bé đã uống trà sữa trân châu trong một thời gian dài.

Theo các bác sỹ, bản thân trân châu làm từ tinh bột sắn nên đã khó tiêu, nhưng nhiều cửa hàng còn bỏ thêm các loại phụ gia vào để trân châu dai và nhiều hương vị hơn. Theo đó, việc hấp thụ nhiều trân châu có thể cản trở hoạt động của hệ tiêu hóa. Tuy nhiên, có ý kiến cho rằng nguyên nhân khiến các hạt trân châu nói trên không được tiêu hóa bởi đây có thể là trân châu giả.

Năm 2015, đài truyền hình tỉnh Sơn Đông của Trung Quốc đã làm một phóng sự về trân châu giả được làm từ đế giày và lốp xe cũ. Trong các cuộc phỏng vấn bí mật với các chủ cửa hàng trà sữa, một số người thừa nhận những hạt trân châu giả đều được sản xuất tại các nhà máy, với nguyên liệu là đế giày và lốp xe cũ.

Hiện người dân có thể dễ dàng mua những cốc trà sữa tại khắp mọi nơi với đủ loại giá thành. Việc tiêu thụ quá nhiều trà sữa có thể dẫn đến những nguy cơ khó lường đối với sức khỏe./.

Phát hiện hàng trăm hạt trân châu chưa tiêu hóa trong bụng một cô bé ảnh 2Các hạt trân châu vẫn mắc kẹt trong hệ tiêu hóa. (Ảnh: 9GAG)
(Vietnam+)

Tin cùng chuyên mục

Ảnh minh họa. (Nguồn: Getty Images)

Những nguy hiểm khi uống nước bằng ống hút thủy tinh

Với vẻ ngoài trong suốt cùng chất liệu thủy tinh bóng bẩy, ống hút thủy tinh dễ thu hút sự chú ý của người dùng. Thông thường, ống hút này sẽ được làm từ thủy tinh chịu lực để giảm tỷ lệ vỡ, sứt mẻ.