Cấy máy phá rung tự động, cứu sống bệnh nhân bị ngưng tim, ngưng thở

Theo Bệnh viện Đà Nẵng, phẫu thuật cấy máy ICD là một trong những kỹ thuật cao, được thực hiện bởi những bác sỹ chuyên khoa sâu về tạo nhịp tim.
Cấy máy phá rung tự động, cứu sống bệnh nhân bị ngưng tim, ngưng thở ảnh 1Bác sỹ thăm hỏi bệnh nhân sau khi thực hiện thành công phẫu thuật cấy máy phá rung tự động (ICD). (Ảnh: TTXVN phát)

Chiều 4/4, Bệnh viện Đà Nẵng thông tin, các bác sỹ Khoa Nội tim mạch-Bệnh viện Đà Nẵng vừa thực hiện thành công ca cấy máy phá rung tự động (ICD), cứu sống bệnh nhân bị ngưng tim, ngưng thở do hội chứng Brugada.

Đây là phương pháp tối ưu giúp người bệnh thoát khỏi nguy cơ đột tử do tim.

Cụ thể, bệnh nhân là Nguyễn.V.L. (sinh năm 1972, trú tại thành phố Hội An, tỉnh Quảng Nam). Trước đó, đêm 23/3, bệnh nhân L. đang ngủ thì lên cơn khó thở, sau đó, hôn mê, được gia đình đưa vào Bệnh viện Đa khoa Thái Bình Dương (thành phố Hội An). Nhờ được hồi sức tích cực, bệnh nhân có tim lại, mạch bẹn bắt rõ.

Bệnh nhân được chuyển cấp cứu Bệnh viện Đà Nẵng trong tình trạng hôn mê sâu, suy hô hấp. Qua thăm khám và làm các xét nghiệm, bác sỹ Bệnh viện Đà Nẵng phát hiện bệnh nhân bị Brugada type 1.

Bác sỹ Hoàng Huy Liêm, Phó trưởng Khoa Nội tim mạch-Bệnh viện Đà Nẵng cho hay, hội chứng Brugada là một bệnh lý hiếm gặp nhưng cực kỳ nguy hiểm. Bệnh có thể dẫn đến những cơn nhịp tim nhanh bất thường (loạn nhịp thất, rung thất) trên điện tâm đồ ECG, gây ngất xỉu và làm gia tăng nguy cơ đột tử do tim.

[Cần Thơ: Cứu sống nạn nhân ngưng tim ngoại viện 45 phút do điện giật]

Theo bác sỹ Liêm, khi tim bị loạn nhịp, bệnh nhân thường có các cơn ngất xỉu khó lường và nguy cơ đột tử có thể xảy ra bất cứ lúc nào.

Đối với bệnh nhân lên cơn loạn nhịp, nếu không được cấp cứu kịp thời và đúng cách có thể tử vong. Bệnh này có tính di truyền và làm gia tăng nguy cơ đột tử tim, tử vong ở nam giới trẻ tuổi.

Bác sỹ Liêm nhận định: “Bệnh nhân L. đã có tiền sử ngất hai lần trước đây nhưng may mắn qua khỏi. Để dự phòng những cơn loạn nhịp tim khiến nguy cơ đột tử có thể xuất hiện trong trong tương lai, các bác sỹ Khoa Nội tim mạch đã chỉ định cấy máy phá rung tự động (ICD) cho bệnh nhân. Đây là phương pháp hiệu quả và an toàn trong y học hiện đại giúp dự phòng đột tử do các rối loạn nhịp tim nguy hiểm gây ra.”

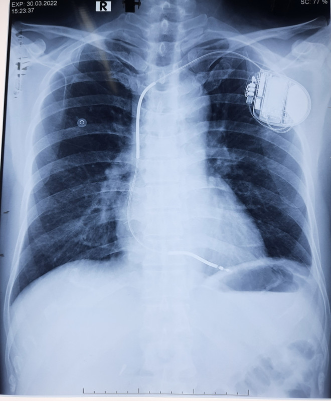
Cấy máy phá rung tự động, cứu sống bệnh nhân bị ngưng tim, ngưng thở ảnh 2Ảnh chụp X-quang bệnh nhân được cấy máy phá rung tự động (ICD). (Ảnh: TTXVN phát)

Ca phẫu thuật được thực hiện trong vòng 1,5 giờ đồng hồ. Sau khi cấy máy ICD, hiện sức khỏe bệnh nhân L. đã ổn định và được xuất viện.

Theo Bệnh viện Đà Nẵng, phẫu thuật cấy máy ICD là một trong những kỹ thuật cao, được thực hiện bởi những bác sỹ chuyên khoa sâu về tạo nhịp tim.

Máy ICD được cấy ghép dưới xương đòn, một dây điện cực kết nối từ máy vào buồng tim phải qua đường tĩnh mạch dưới đòn. Máy ICD ghi nhận và theo dõi tất cả mọi hoạt động điện học của tim.

Khi tim xuất hiện tình trạng rối loạn nhịp nguy hiểm, tín hiệu bất thường này sẽ chuyển tới máy ICD, máy sẽ phát dòng điện để cắt những cơn rối loạn nhịp, đưa trái tim trở về nhịp co bóp bình thường, ngăn ngừa đột tử.

Sau hơn 5 năm triển khai, Khoa Nội tim mạch-Bệnh viện Đà Nẵng đã thực hiện thường quy phẫu thuật này. Khoa Nội tim mạch được trang bị các thiết bị tối tân như hệ thống chụp mạch máu số hóa xóa nền (DSA) cùng đội ngũ bác sĩ có tay nghề cao đã thực hiện nhiều kỹ thuật chuyên sâu trong khám và điều trị bệnh lý tim mạch./.

(TTXVN/Vietnam+)

Tin cùng chuyên mục