Thích ăn đồ sống, một người đàn ông bị nhiễm ấu trùng sán dây ký sinh ở phổi

Bệnh nhân phát hiện bệnh với tình trạng mệt mỏi, đau vùng ngực phải âm ỉ, thỉnh thoảng khó thở, không sốt, không ho, không mẩn ngứa, không sút cân.

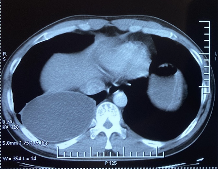
Tổn thương trên phim cắt lớp vi tính lồng ngực của bệnh nhân. (Ảnh: PV/Vietnam+)
Tổn thương trên phim cắt lớp vi tính lồng ngực của bệnh nhân. (Ảnh: PV/Vietnam+)

Ngày 11/1, đại diện Bệnh viện Trung ương Quân đội 108 thông tin các bác sỹ của bệnh viện đã tiếp nhận và phẫu thuật thành công một nam bệnh nhân, 38 tuổi, nhiễm ấu trùng sán dây chó ký sinh tại phổi. Đây là một trường hợp rất hiếm gặp tại Việt Nam.

Trước khi khởi phát bệnh, bệnh nhân đã ăn các thực phẩm tái hoặc sống nhiều lần như: Thịt cừu nướng chưa chín, tiết canh dê, rau sống và gỏi cá mai.

Bệnh nhân phát hiện bệnh với tình trạng mệt mỏi, đau vùng ngực phải âm ỉ, thỉnh thoảng khó thở, không sốt, không ho, không mẩn ngứa, không sút cân.

Sau khi khám, kết quả chụp phim lồng ngực cho thấy có tổn thương dạng nang thùy dưới phổi phải kích thước 12x9x8cm. Bệnh nhân được chỉ định phẫu thuật cắt nang dịch.

Các bác sỹ đã tiến hành phẫu thuật nội soi lồng ngực cắt nang dịch cho bệnh nhân. Tổn thương trong mổ là một nang dịch kích thước lớn, thành dày, dịch nang trong, bên trong có chứa các đầu sán nằm ở thùy dưới phổi phải. Bệnh phẩm được gửi soi tươi xác định ấu trùng sán dây chó. Sau mổ bệnh nhân diễn biến ổn định, hồi phục tốt.

Bệnh sán dây chó là bệnh gây ra bởi các loài sán thuộc giống Echinococcus. Giống Echinococcus có khoảng 10 loài, trong đó hai loài gây bệnh chính ở người là: E. granulosus và E. multilocularis. Loài E. granulosus gây tổn thương thể nang nước (Cystic echinococcosis), loài này có vật chủ chính là chó nuôi, chó hoang...; vật chủ trung gian là loài động vật ăn cỏ, đặc biệt là cừu.

Bệnh do ấu trùng sán dây chó Echinococcus có biểu hiện lâm sàng phụ thuộc vào loài sán dây chó bị nhiễm. Bệnh có đặc điểm là phát triển chậm, trong một thời gian dài có thể hoàn toàn không có triệu chứng. Các nang sán hay gặp ở gan, sau đó là phổi và các cơ quan khác như thận, lách, tim, tổ chức thần kinh hoặc xương.

Tất cả mọi người đều có khả năng nhiễm ấu trùng sán dây chó và có thể bị nhiễm nếu ăn phải trứng sán dây chó. Người mắc bệnh do nuốt phải trứng sán dây chó khi ăn uống các loại thực phẩm bị nhiễm trứng sán dây chó hoặc người sau khi có tiếp xúc trực tiếp với chó, cáo, chồn nhiễm bệnh.

Bác sỹ Nguyễn Văn Hoàng - Khoa Ngoại lồng ngực (Bệnh viện Trung ương Quân đội 108) khuyến cáo người dân thực hiện tốt ăn chín, uống sôi và một số biện pháp dự phòng bệnh sán dây chó ở người như sau: Tránh tiếp xúc phân chó, chú ý vấn đề rửa tay sạch sẽ; Cắt đường lây truyền bằng cách không cho chó ăn các phủ tạng chưa được nấu chín; Đốt hoặc chôn sâu các phủ tạng của vật chủ trung gian bị chết; Tẩy sán định kỳ cho đàn chó có nguy cơ cao, giảm số lượng cá thể đàn.

Đối với người dân từng sống trong vùng dịch tễ có bệnh lưu hành, ăn các món ăn có nguy cơ nhiễm ấu trùng của Echinococcus cùng với các biểu hiện nghi ngờ như sốt nhẹ, mệt mỏi, ăn kém, vàng da, mẩn ngứa, đau ngực, khó thở, ho dai dẳng đôi khi ho máu cần đi khám ngay để chẩn đoán sớm và điều trị kịp thời./.

(Vietnam+)

Tin cùng chuyên mục

Bác sỹ Bệnh viện Nhi đồng 1 Thành phố Hồ Chí Minh khám cho trẻ nhiễm HIV. (Ảnh: Đinh Hằng/TTXVN)

Bài 1: Nơi hồi sinh, mở lối tương lai

Trong suốt 20 năm qua, Bệnh viện Nhi đồng 1 và Nhi đồng 2 Thành phố Hồ Chí Minh đã điều trị cho hàng ngàn trẻ nhiễm HIV, trở thành chỗ dựa, nơi hồi sinh cuộc đời cho trẻ nhiễm HIV.