Bác sỹ thăm khám cho bệnh nhân sau can thiệp. (Ảnh: TTXVN phát)
Các bác sỹ Bệnh viện Đa khoa Trung ương Cần Thơ vừa cấp cứu thành công một bệnh nhân sốc mất máu nguy kịch do xuất huyết tiêu hóa từ ruột non hiếm gặp bằng phương pháp nút động mạch cầm máu.
Bệnh nhân B.X.B nhập viện ngày 20/10 trong tình trạng nguy kịch (huyết áp thấp, mạch nhanh nhẹ, da niêm nhạt, tiêu máu đỏ tươi).
Trước đó, bệnh nhân đi cầu ra máu tươi ồ ạt, được cấp cứu tại địa phương sau đó chuyển đến Bệnh viện Đa khoa Trung ương Cần Thơ điều trị.
[Kịp thời cấp cứu ngư dân bị xuất huyết tiêu hóa, nôn ra máu]
Nhận định bệnh nhân bị sốc giảm thể tích, các bác sỹ khoa cấp cứu tiến hành xử trí lập 2 đường truyền, bù nhanh dịch truyền, truyền 4 đơn vị hồng cầu toàn phần, 2 đơn vị huyết tương.
Kết quả nội soi đại tràng cấp cứu ghi nhận đại tràng bệnh nhân có nhiều máu đỏ tươi, không tìm thấy vị trí chảy máu, nghi ngờ chảy máu từ ruột non; chụp cắt lớp vi tính bụng có cản quang phát hiện thoát mạch.
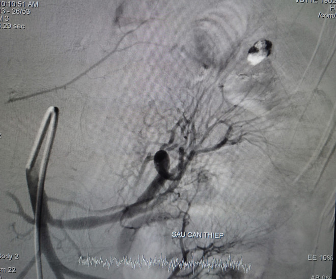
Các bác sỹ tiến hành hội chẩn, quyết định chụp và nút động mạch điều trị cầm máu trên máy chụp mạch số hóa xóa nền (DSA). Êkíp can thiệp ghi nhận ổ thoát mạch từ ruột non được cung cấp máu từ nhánh động mạch mạc treo tràng trên.
Ổ thoát mạch sau can thiệp. (Ảnh: TTXVN phát)
Các bác sỹ tiến hành chọn lọc vào nhánh thoát mạch, xác định vị trí, tiến hành bơm hỗn hợp keo và kiểm tra thấy tắc hoàn toàn nhánh thoát mạch. Thời gian can thiệp là 45 phút.
Sau can thiệp, dấu hiệu sinh tồn của bệnh nhân đã ổn định, được chuyển đến Khoa Nội Tiêu hóa-Huyết học truyền máu theo dõi và điều trị.
Đến ngày 25/10, bệnh nhân đã tỉnh táo, tiếp xúc tốt, niêm hồng, không xuất huyết tái phát.
Bác sỹ Chuyên khoa II Bồ Kim Phương, Trưởng khoa Nội tiêu hóa-Huyết học lâm sàng bệnh viện thông tin tỷ lệ gặp xuất huyết tiêu hóa dưới trong dân số chung là khoảng 20 người/100.000 người, tỷ lệ tử vong dao động khoảng 2-5%.
Điều trị xuất huyết tiêu hóa dưới chủ yếu là điều trị bảo tồn do xuất huyết tiêu hóa dưới thường có xu hướng tự giới hạn. Tuy nhiên, ở những trường hợp nặng, các phương pháp chuyên sâu sẽ được chỉ định.
Can thiệp nội mạch hiện nay được xem là một phương pháp nhanh, hiệu quả và an toàn. Thông qua việc luồn ống thông vào mạch máu của bệnh nhân, các bác sỹ có thể chẩn đoán chính xác và can thiệp vào mạch máu đang bị xuất huyết, từ đó xử trí nhanh, xâm lấn tối thiểu và hạn chế các tác dụng phụ không mong muốn./.