Tai nạn khi cắt cỏ, người đàn ông bị lưỡi cưa cắt đứt chân

Khi ông L. đang cắt cỏ, lưỡi cưa không may vấp vào viên đá, vỡ và cắt vào chân do máy cắt cỏ đã bị tháo tấm sắt chắn lưỡi cưa.
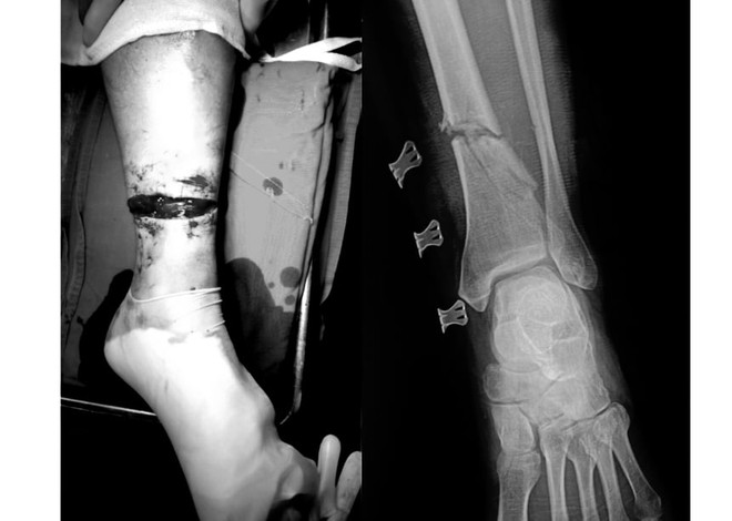
Tai nạn khi cắt cỏ, người đàn ông bị lưỡi cưa cắt đứt chân ảnh 1Chân của bệnh nhân sau khi bị lưỡi cưa cắt qua. (Ảnh: PV/Vietnam+)

Ngày 31/12/2019, Bệnh viện Hữu nghị Việt Đức tiếp nhận trường hợp một người đàn ông bị tai nạn khi cắt cỏ, khiến lưỡi cưa cắt đứt chân.

Bệnh nhân tên B.V.L (56 tuổi, ở Hòa Bình) nhập viện trong tình trạng vết thương hở đứt 3/4 chu vi cẳng chân trái, chảy nhiều máu. Bệnh nhân bị mất vận động cổ chân và các ngón chân, gãy hở xương, đứt hoàn toàn các gân cơ khu trước và sau cẳng chân, đứt bó mạch chày sau, chày trước.

[WHO cung cấp thông tin về bệnh viêm phổi cấp tại Trung Quốc]

Người nhà của bệnh nhân cho hay, khi ông L. đang cắt cỏ, lưỡi cưa không may vấp vào viên đá, vỡ và cắt vào chân do máy cắt cỏ đã bị tháo tấm sắt chắn lưỡi cưa.

Sau khi xảy ra tai nạn, ông L. đã được sơ cứu băng ép tại bệnh viện huyện, sau đó chuyển Bệnh viện Hữu nghị Việt Đức vào ngày 31/12/2019.

Bác sỹ Hoàng Minh Thắng - Khoa Phẫu thuật Chi trên và Y học thể thao cho biết, người bệnh đã được cố định ngoài xương chày, nối gân, thần kinh, nối động mạch chày trước, chày sau.

Hiện tại sau mổ, tình trạng bệnh nhân đã ổn định, đầu chi hồng ấm, mạch chày trước, chày sau rõ và đang được hướng dẫn tập phục hồi chức năng.

Bác sỹ Thắng khuyến cáo, người dân cần có ý thức đảm bảo an toàn lao động, kiểm tra dụng cụ kỹ lưỡng trước khi sử dụng nhằm tránh những tai nạn đáng tiếc./.

(Vietnam+)

Tin cùng chuyên mục