Bệnh viện TW Huế cứu sống bệnh nhân lao phổi ho ra máu, dễ tử vong

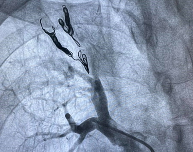
Ekip đã can thiệp thành công các nhánh động mạch phổi qua đường tim để đảm bảo các nhánh động mạch phổi bị dò đều được bít hết, giảm thiểu nguy cơ tái phát ho ra máu sau can thiệp.
Bệnh viện TW Huế cứu sống bệnh nhân lao phổi ho ra máu, dễ tử vong ảnh 1Các bác sỹ Bệnh viện Trung ương Huế can thiệp tim mạch cho bệnh nhân lao phổi ho ra máu lượng lớn, nguy cơ tử vong cao. (Ảnh: TTXVN phát)

Ngày 14/8, thông tin từ Bệnh viện Trung ương Huế (tỉnh Thừa Thiên-Huế) cho biết: Bệnh viên vừa can thiệp thành công tim mạch, cứu sống một nam bệnh nhân (51 tuổi, trú tại thành phố Huế) ho ra máu mức độ nặng, nguy cơ tử vong cao.

Hiện nay, bệnh nhân đang được theo dõi sát tại phòng bệnh nặng của khoa Cấp cứu tim mạch can thiệp, Trung tâm Tim mạch thuộc bệnh viện.

Bệnh nhân này có tiền sử lao phổi 26 năm, đã điều trị đủ liệu trình. Trong quá trình tập thể dục buổi sáng, bệnh nhân bất ngờ ho ra máu lượng lớn (khoảng hơn 200ml).

Ngày 6/8, bệnh nhân được đưa vào Khoa Hồi sức Cấp cứu, Bệnh viện Trung ương Huế trong tình trạng suy hô hấp cấp do tràn ngập máu đường thở và suy sụp tuần hoàn.

Ngay sau đó, các y, bác sỹ đã hồi sức tích cực cho bệnh nhân với các thuốc cầm máu nhưng tình trạng ho ra máu nặng còn tiếp diễn, nguy cơ tử vong rất cao.

[Hỗ trợ hai bệnh viện tuyến đầu ở Huế và Quảng Nam chống dịch COVID-19]

Ngày 12/8, qua nội soi phế quản cấp cứu, phát hiện bệnh nhân có khối máu đông lớn và máu còn chảy ở thùy trên phổi phải.

Sau khi hội chẩn đa chuyên khoa, gồm: hồi sức cấp cứu, ngoại lồng ngực tim mạch, can thiệp tim mạch, X-quang can thiệp và nội soi phế quản, Ban Giám đốc bệnh viện đã quyết định can thiệp nút động mạch phổi qua đường tim.

Nếu can thiệp thất bại, bệnh nhân sẽ được tiến hành phẫu thuật cắt thùy phổi cấp cứu.

Chiều 13/8, dưới sự chỉ đạo trực tiếp của Giáo sư Phạm Như Hiệp - Giám đốc Bệnh viện Trung ương Huế, các bác sỹ chuyên khoa tim mạch can thiệp, can thiệp mạch não và hồi sức tim mạch đã phối hợp, tiến hành can thiệp bít thành công hai nhánh động mạch thùy trên phổi phải bằng coil (vòng xoắn kim loại).

Sau 24 giờ, huyết động bệnh nhân ổn định và không còn tình trạng ho ra máu.

Bệnh viện TW Huế cứu sống bệnh nhân lao phổi ho ra máu, dễ tử vong ảnh 2Hình ảnh trên máy DSA chụp phổi bệnh nhân trước khi được can thiệp tim mạch. (Ảnh: TTXVN phát)

Theo Tiến sỹ Hồ Anh Bình, Trưởng khoa Cấp cứu tim mạch can thiệp, điều đặc biệt ở trường hợp này là ekip đã can thiệp thành công các nhánh động mạch phổi qua đường tim để đảm bảo các nhánh động mạch phổi bị dò đều được bít hết, giảm thiểu nguy cơ tái phát ho ra máu sau can thiệp.

Quá trình can thiệp phức tạp, đòi hỏi sự phối hợp của cả ekip một cách chính xác, nhuần nhuyễn và kiểm soát nhiễm khuẩn.

Được biết, ho ra máu có nhiều nguyên nhân như: Lao phổi, giãn phế quản, ung thư phổi, rối loạn đông chảy máu… Trong đó, ho ra máu do biến chứng của lao phổi là khá nặng nề, thường do vỡ phình mạch Ramussen, lượng máu mất khá lớn, có nguy cơ tử vong nếu không hồi sức và cầm máu kịp thời.

Trước đây, bệnh nhân thường được chỉ định phẫu thuật cấp cứu cắt một phần thùy phổi để cầm máu.

Nhưng trong điều kiện dịch COVID-19 hiện nay, phương pháp can thiệp tim mạch mà đội ngũ y, bác sỹ Bệnh viện Trung ương Huế thực hiện đảm bảo được an toàn cho việc phòng dịch và nhanh chóng cứu sống bệnh nhân./.

(TTXVN/Vietnam+)

Tin cùng chuyên mục

Hà Nội: Xuân yêu thương ở bệnh viện K

Hà Nội: Xuân yêu thương ở bệnh viện K

Giữa hành trình điều trị nhiều nhọc nhằn, hơn một nghìn người bệnh và người nhà được ngồi lại bên nhau, cùng chia sẻ một bữa cơm nghĩa tình, để thấy mình không đơn độc.