Nam thanh niên 26 tuổi có nang răng sừng hóa hiếm gặp

Bị đau và hơi sưng ở chân răng số 7, nam thanh niên 26 tuổi (ở Hà Nội) nghĩ rằng mình mọc răng khôn. Kết quả đánh giá chuyên sâu, các bác sỹ phát hiện thanh niên này bị nang răng sừng hóa.
Nam thanh niên 26 tuổi có nang răng sừng hóa hiếm gặp ảnh 1Bác sỹ Nguyễn Thanh Thái kiểm tra sức khoẻ của bệnh nhân sau phẫu thuật. (Ảnh: PV/Vietnam+)

Bác sỹ Chuyên khoa 1 Nguyễn Thanh Thái, Trưởng Khoa Phẫu thuật hàm mặt, Bệnh viện Hữu nghị Việt Nam-Cu Ba (Hà Nội) cho biết, các bác sỹ của bệnh viện vừa phẫu thuật điều trị cho một nam thanh niên bị bệnh nang sừng hóa (còn gọi là bệnh nang răng sinh sừng).

Bệnh nhân kể lại, trước khi phát hiện bệnh anh chưa từng đi khám răng miệng. Thời gian gần đây thấy đau vùng góc hàm bên phải nên nghĩ rằng mình mọc răng khôn.

[Phẫu thuật thành công điều trị ung thư vú cho cụ bà 92 tuổi]

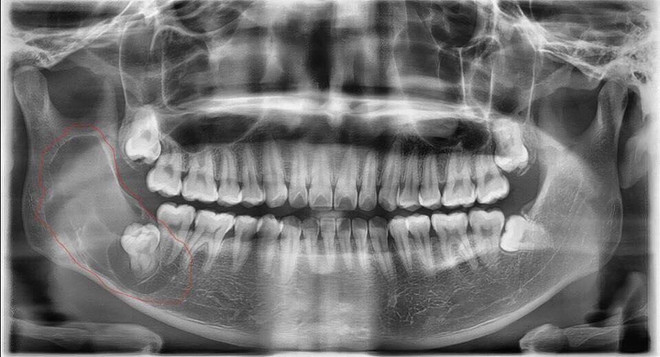
Sau khi chụp Xquang, các bác sỹ thấy khối nang lạ nằm ở vị trí góc hàm kích thước rất lớn, trải dài từ vị trí răng số 7 đi qua cành ngang và cành cao xương hàm dưới, phát triển ra cả hai bản xương trong và ngoài.

Bác sỹ Nguyễn Trung Nghĩa, Khoa Phẫu thuật hàm mặt - người trực tiếp điều trị bệnh nhân cho biết kết quả sinh thiết 2 lần tại 2 cơ sở y tế đều cho kết quả bệnh nhân bị nang răng sừng hóa.

Ngày 4/6, bệnh nhân đã được phẫu thuật cắt bỏ toàn bộ khối nang có kích thước hơn 5cm.

Nang răng sừng hoá là bệnh lý gặp ở người trưởng thành nhưng dễ nhầm lẫn với một số bệnh lý khác về răng miệng, nhất là lầm tưởng về tình trạng mọc răng khôn.

Theo bác sỹ Thái, trước đây với bệnh lý này bệnh nhân thường sẽ phải phẫu thuật nhiều lần, bệnh tái đi tái lại sau mỗi lần phẫu thuật nạo các tổ chức u vì việc can thiệp chỉ có thể lấy được chân chứ không thể tiêu diệt mầm bệnh tận gốc. Điều này có thể khiến bệnh nhân cảm thấy nản, thậm chí bỏ điều trị.

Tuy nhiên, những năm gần đây một số nước phát triển như Anh, Mỹ, Canada đã ứng dụng một loại thuốc có tác dụng tiêu diệt tận gốc nang sừng hoá.

Bác sỹ Thái cho hay, để điều trị cho bệnh nhân này bác sỹ sẽ phẫu thuật vét nang răng sau đó đặt thuốc đặc trị để phá toàn bộ xương nang răng.

Nam thanh niên 26 tuổi có nang răng sừng hóa hiếm gặp ảnh 2Phim chụp nang răng sinh sừng của bệnh nhân. (Ảnh: PV/Vietnam+)

Qua theo dõi 5 bệnh nhân được điều trị bằng phương pháp này tại Bệnh viện Việt Nam-Cu Ba, không có ai bị tái phát bệnh.

Bác sỹ Thái nhấn mạnh, khó khăn lớn nhất là do loại thuốc này nhập khẩu bởi nhu cầu sử dụng không nhiều. Hiện tại Bệnh viện Việt Nam-Cu Ba là cơ sở đầu tiên ở Việt Nam ứng dụng phương thức điều trị này cho bệnh nhân bị nang sừng hoá.

Với các bệnh nhân có vấn đề về răng, các bác sỹ khuyến cáo khi nghi ngờ có u răng do sừng hóa cần đến cơ sở y tế điều trị bảo tồn bằng phẫu thuật lấy nang để bảo tồn răng.

Rất nhiều người bệnh đến khám thì nang đã phát triển rộng vào xương, răng bị khối nang phá hủy, gây ra biến dạng khuôn mặt..., chỉ một số trường hợp do tình cờ người bệnh đi kiểm tra, chụp phim Xquang về răng mới phát hiện ra bệnh.

Vì vậy, người dân nên đi khám răng miệng thường xuyên 6 tháng/lần để có thể phát hiện ra đc những khối nang mới hình thành từ giai đoạn sớm./.

(Vietnam+)

Tin cùng chuyên mục