Hà Nội: Bệnh nhi 4 tuổi loét thực quản vì nuốt phải pin cúc áo

Khi tiến hành nội soi, các bác sĩ xác định thực quản của bệnh nhân khu vực xung quanh pin đã loét hết, phía trên và phía dưới dị vật đều phù nề chít hẹp hết đường ra cũng như đường xuống dạ dày.

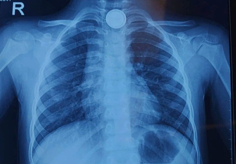
Phim chụp X-quang hình ảnh vị trí pin cúc áo trong cổ bệnh nhi. (Ảnh: BVCC)
Phim chụp X-quang hình ảnh vị trí pin cúc áo trong cổ bệnh nhi. (Ảnh: BVCC)

Ngày 11/3, Bệnh viện Nhi Hà Nội thông tin các bác sĩ của bệnh viện vừa nội soi cấp cứu cho một bệnh nhân nhi 4 tuổi thoát nguy cơ thủng thực quản do nuốt phải pin cúc áo.

Trước đó, vào ngày 8/3, khoa Tiêu hóa – Bệnh viện Nhi Hà Nội đã tiếp nhận và nội soi cấp cứu thành công cho bệnh nhi V.K.V (4 tuổi, Hà Nội) do nuốt phải pin cúc áo – một loại dị vật cực kỳ nguy hiểm nếu không được xử lý kịp thời.

Sau khi phát hiện sự việc, gia đình nhanh chóng đưa bé đến bệnh viện gần nhà, chụp X-quang phát hiện dị vật pin mắc ở thực quản ngang mức xương đòn.

Sau đó bé được chuyển đến Bệnh viện Nhi Hà Nội. Bệnh nhi được các bác sĩ khám và hội chẩn ngay được sự nguy hiểm của dị vật cần phải được nội soi cấp cứu.

Khi tiến hành nội soi, các bác sĩ xác định thực quản của bệnh nhân khu vực xung quanh pin đã loét hết, phía trên và phía dưới dị vật đều phù nề chít hẹp hết đường ra cũng như đường xuống dạ dày.

Sau 3 giờ nỗ lực, các bác sĩ đã lấy được dị vật mà không cần can thiệp phẫu thuật mở, giúp bé tránh khỏi nguy cơ thủng thực quản và hồi phục tốt hơn sau can thiệp.

Tiến sĩ Ninh Quốc Đạt - Bệnh viện Nhi Hà Nội cho hay pin cúc áo không chỉ là một dị vật thông thường mà còn có thể gây tổn thương nặng nề chỉ trong vài giờ đầu. Do có tính chất ăn mòn kèm cơ chế dòng điện, nên sẽ gây bỏng loét dẫn tới thủng rất sớm, đặc biệt pin to mắc ở thực quản như của Bệnh nhi này.

"Vì cực âm và cực dương của pin sát nhau, khi nuốt vào trong đường tiêu hóa, gặp nước, dịch nhầy sẽ sinh ra dòng điện, giải phóng nhanh và nhiều hydroxyl radical. Hiện tượng này làm tăng nhanh pH, gây ăn mòn mạnh, rất dễ thủng thực quản, thủng lan sang khí quản, động mạch chủ, thủng dạ dày... trường hợp nặng có thể gây tử vong trong vòng 2 giờ. Về lâu dài rất dễ gây sẹo hẹp, rò,... đường tiêu hóa," bác sĩ Đạt phân tích.

Các bác sĩ Bệnh viện Nhi Hà Nội khuyến cáo phụ huynh cần đặc biệt cẩn trọng với những đồ vật nhỏ bé nhưng tiềm ẩn nguy cơ lớn này. Nếu phát hiện trẻ có dấu hiệu nuốt dị vật, hãy liên hệ ngay cơ sở y tế gần nhất để được xử lý kịp thời./.

Tin cùng chuyên mục